症例詳細
Case detail
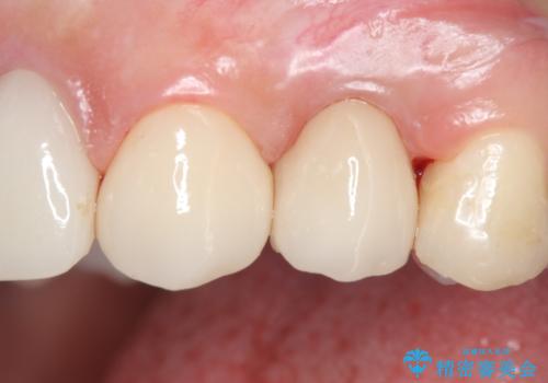
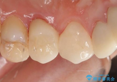
オールセラミッククラウン 歯牙の挺出後の補綴
治療症例の内容
- 患者様
- 20代女性
- 治療期間
- 9ヶ月
- 治療回数
- 5-10回
- 治療計画
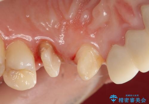
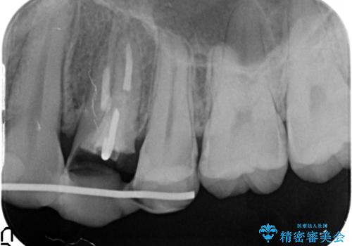
- 左上3、4番の見た目が気になるためセラミックにしたいといらっしゃった方の症例です。
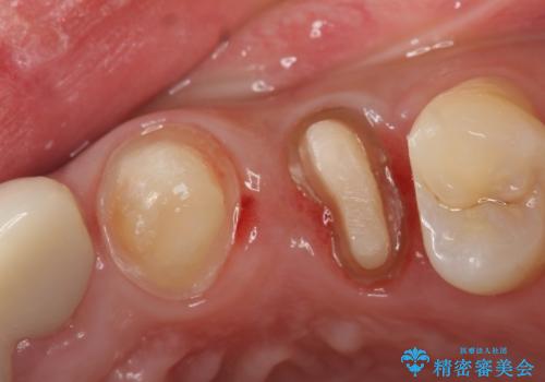
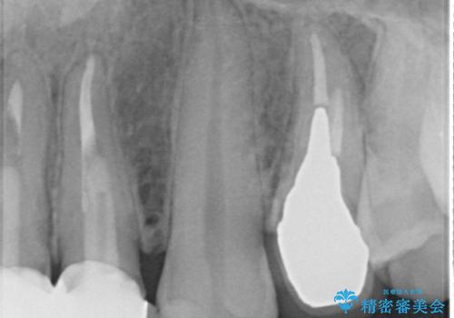
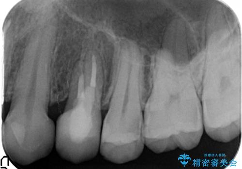
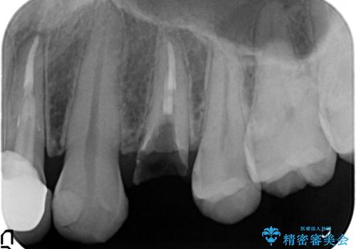
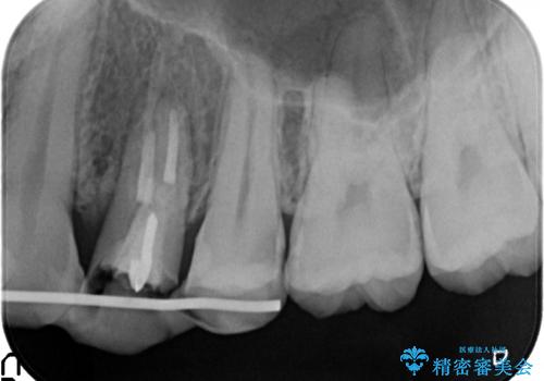
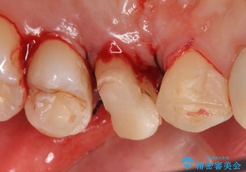
左上4の補綴物を除去したところ縁下歯質だったため、歯牙の挺出を提案し行いました。
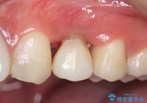
挺出終了後は歯肉切除および骨外科により歯周組織を整え、オールセラミッククラウンによる補綴を行いました。
- 費用(概算)
- オールセラミッククラウン(エコノミー)…¥70,000×2、ファイバーコア…¥20,000、仮歯…¥10,000×2、歯冠長延長術…¥100,000費用は治療当時の料金となります
オールセラミッククラウン(エコノミー)について
オールセラミッククラウン(エコノミー)はスタンダード以上と違い、一塊となっているため欠けてしまうリスクが低いのが特徴です。
しかしその反面選択できる色の種類が少なく、色合いも単調であるという欠点もありますが、今回のケースのように前後の歯がクラウンの場合などでは十分に審美的な補綴が可能となります。
縁下カリエス(歯茎より深い虫歯)の治療について
虫歯が進み歯茎より深くなってしまうと、虫歯を取り残してしまうリスク、樹脂の硬化の妨げ、補綴物の不適合、歯肉炎・歯周病のリスクの増大等様々な弊害が起こり得ます。
そのため当院では歯周外科手術(歯茎を下げる手術)や歯の挺出による、虫歯が歯茎より深いという問題の解決を推奨しております。
セラミック治療の注意事項(リスク・副作用など)
- 天然歯を削ります
- 硬い素材は天然歯を傷つけてしまう場合があります
- かみ合わせや歯ぎしりが強すぎる方はセラミックが割れてしまう可能性があります
- 自費診療(保険適用外治療)となります
当サイトの内容、テキスト、画像等の無断転載、複製、複写、盗用を固く禁じます。






















