症例詳細
Case detail
オールセラミッククラウン 根管治療 奥歯の補綴
治療症例の内容
- 診療科目
- 治療カテゴリ
- 担当医
- 患者様
- 30代女性
- 治療期間
- 3ヶ月
- 治療回数
- 2-5回
- 治療計画
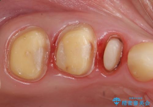
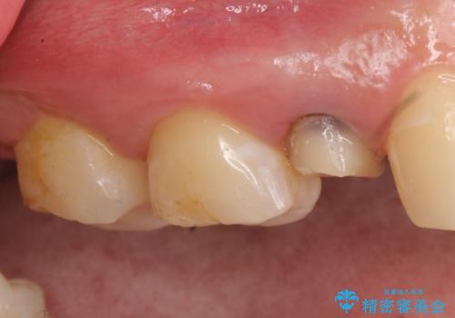
- 他院にて右上5番目の歯の根管治療を行っていたが、痛みが引かないため当院にいらっしゃった方の症例です。
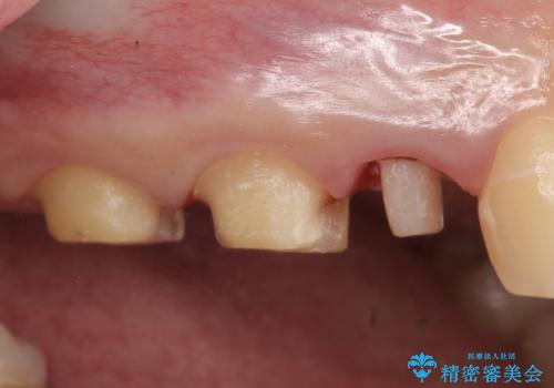
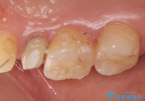
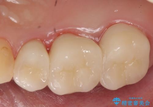
右上5は再根管治療を行い症状の緩解を確認後、オールセラミッククラウンによる補綴を行いました。
右上6、7番目の歯もしみるとのことだったので古い樹脂及び虫歯を除去後、オールセラミッククラウンによる補綴を行いました。
※右上5は歯肉縁下まで虫歯だったため歯冠長延長術を提案しましたが、希望されませんでした。
- 費用(概算)
- オールセラミッククラウン(スタンダード)…¥100,000×3、ファイバーコア…¥20,000×1、仮歯…¥10,000×3費用は治療当時の料金となります
虫歯治療について
虫歯治療は虫歯の進行度によって処置が変わってきます。
虫歯が小さければ、インレー・クラウン等による修復・補綴処置を行うだけで済みます。
しかし虫歯が大きくなると神経処置や抜歯等をしなければならない場合もあります。
ですので虫歯治療においては早期発見・早期治療が肝要です。
オールセラミッククラウンについて
今回用いたオールセラミッククラウンはジルコニアフレームという白い素材の上にセラミックを盛っているため、審美性が非常に高いのが特徴です。
また、ジルコニアは人工ダイヤモンドの材料にも使われているほど高い強度を持っており、そのためオールセラミッククラウンは審美性だけでなく、奥歯やブリッジの補綴も可能とするクラウンです。
根管治療の注意事項(リスク・副作用など)
- 根管治療により類似の全ての症例の問題が解決するわけではなく、症例はあくまでも一例です
- 根管治療により痛みや腫れがひかない事や、術後に痛みや腫れが生じる事、治療によるファイル破折やパーフォレーションなどの偶発症、術後の歯根破折を生じる可能性もあります
- 自費診療(保険適用外)となります
セラミック治療の注意事項(リスク・副作用など)
- 天然歯を削ります
- 硬い素材は天然歯を傷つけてしまう場合があります
- かみ合わせや歯ぎしりが強すぎる方はセラミックが割れてしまう可能性があります
- 自費診療(保険適用外治療)となります
当サイトの内容、テキスト、画像等の無断転載、複製、複写、盗用を固く禁じます。











