症例詳細
Case detail
残せなくなってしまった乳歯 インプラントによる補綴
治療症例の内容
- 担当医
- 大元洋佑(ドクタープロフィール)
- 患者様
- 30代女性
- 治療期間
- 6ヶ月
- 治療回数
- 5-10回
- 治療計画
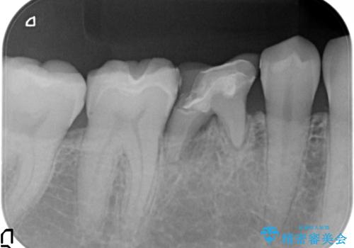
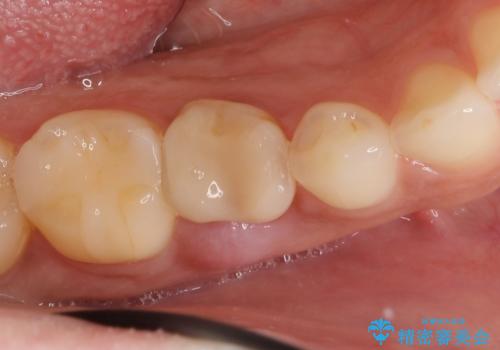
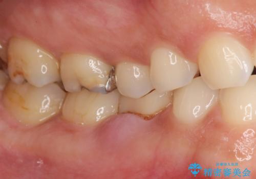
- 大人になっても残っていた乳歯が噛むと痛くなり、治療を求めて来院されました。
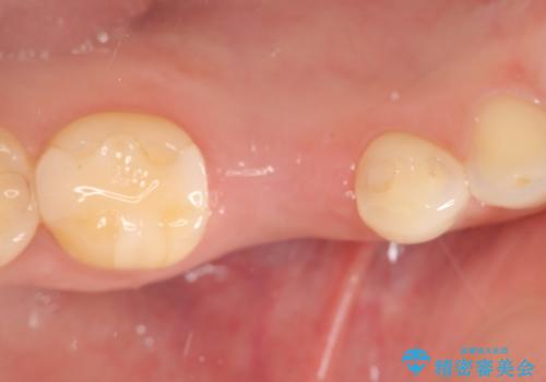
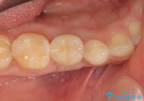
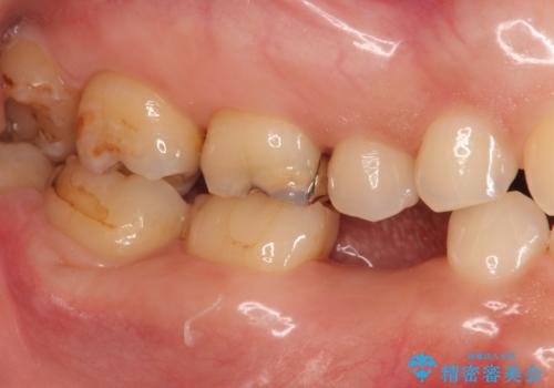
残す手段を検討しましたが大きな虫歯・根尖病変の存在し、大きく歯ぐきも腫れ炎症も強く認められる状態を改善するため抜歯を行いインプラントによる咬合機能回復を計画します。
- 費用(概算)
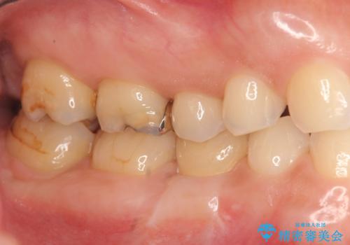
- 40万円(ストローマンインプラント・カスタムジルコニアアバットメント・ジルコニアクラウン)費用は治療当時の料金となります
晩期残存乳歯の治療について
大人になっても残っている乳歯は根管治療や他の治療で残せる場合もありますが、今回のように状態が悪い場合早期に抜歯をすることで歯槽骨が温存でき十分に安定した骨量でインプラントによる機能回復を達成することができました。
インプラント治療の注意事項(リスク・副作用など)
- 外科手術のため、術後に痛みや腫れ、違和感を伴います
- メンテナンスを怠ったり喫煙により、お口の中に大きな悪影響を及ぼすインプラント周囲炎等にかかる可能性があります
- 糖尿病、肝硬変、心臓病等の場合、インプラント治療ができない可能性があります
- 高血圧、貧血・不整脈等の場合、インプラント治療後に治癒不全を招く可能性があります
- 自費診療(保険適用外治療)となります
当サイトの内容、テキスト、画像等の無断転載、複製、複写、盗用を固く禁じます。












