症例詳細
Case detail
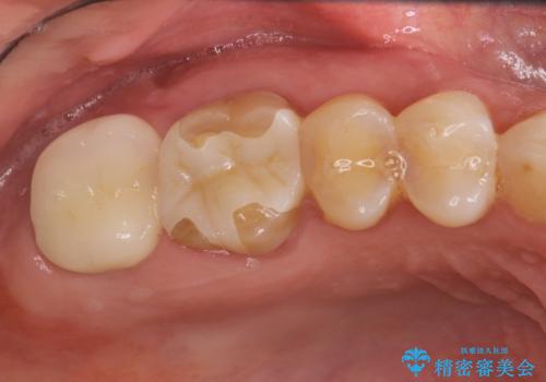
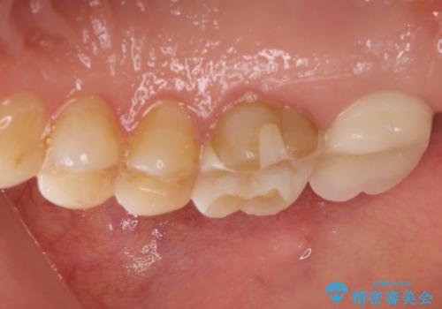
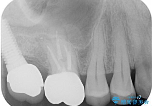
感染した奥歯 痛くて咬めない 根管治療→かぶせ物で痛みを取り除き、かみ合わせを回復する
治療症例の内容
- 診療科目
- 治療カテゴリ
- 担当医
- 患者様
- 30代女性
- 治療期間
- 2ヶ月
- 治療回数
- 2-5回
- 治療計画
- 古い詰め物を除去し、腐ってしまった神経を顕微鏡下で丁寧に処理する
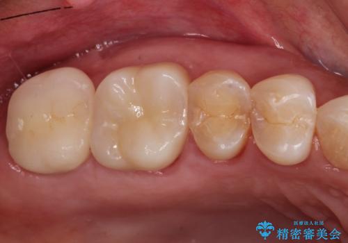
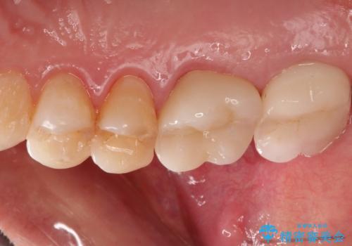
→根管治療完了後、土台を築造し、かぶせ物を製作してかみ合わせを回復する
- 費用(概算)
- 約20万円費用は治療当時の料金となります
治療について
すでに感染が根の先端まで及んでいたため、かなり強い痛みがありましたが、丁寧に根管治療をすることで内部を可及的に無菌化し、痛みが消失しました。
かぶせ物の種類:Bellezza
根管治療の注意事項(リスク・副作用など)
- 根管治療により類似の全ての症例の問題が解決するわけではなく、症例はあくまでも一例です
- 根管治療により痛みや腫れがひかない事や、術後に痛みや腫れが生じる事、治療によるファイル破折やパーフォレーションなどの偶発症、術後の歯根破折を生じる可能性もあります
- 自費診療(保険適用外)となります
セラミック治療の注意事項(リスク・副作用など)
- 天然歯を削ります
- 硬い素材は天然歯を傷つけてしまう場合があります
- かみ合わせや歯ぎしりが強すぎる方はセラミックが割れてしまう可能性があります
- 自費診療(保険適用外治療)となります
当サイトの内容、テキスト、画像等の無断転載、複製、複写、盗用を固く禁じます。









