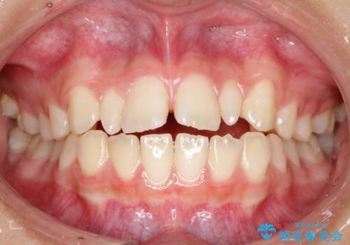
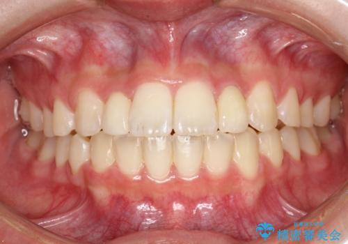
症例詳細
Case detail
歯の形態修正も含めた矯正治療&セラミック治療
治療症例の内容
- 担当医
- 患者様
- 20代女性
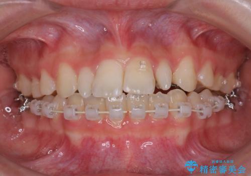
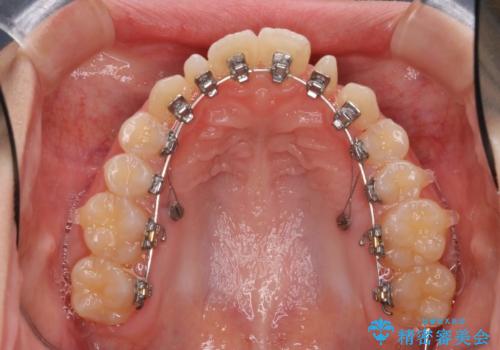
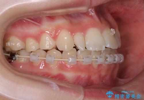
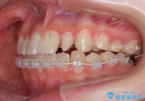
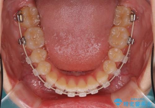
- 矯正装置
- ハーフリンガル
- 治療期間
- 3年
- 治療回数
- 10-30回
- 治療計画
- ハーフリンガルシステムによる矯正治療を行いながら、スペースコントロールをみて前歯を仮歯へ
→矯正の終了をメドに仮歯をセラミックへ置き換える
- 費用(概算)
- 約110万円(セラミック・矯正を含む)費用は治療当時の料金となります
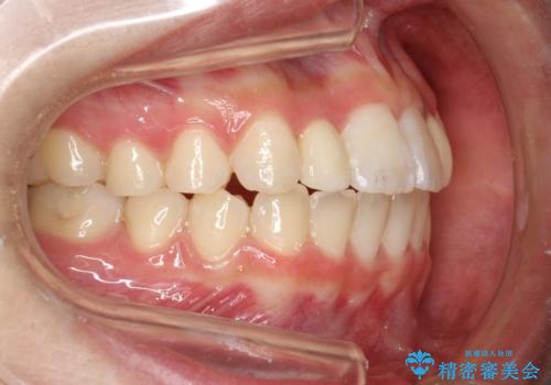
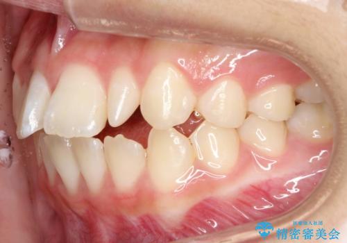
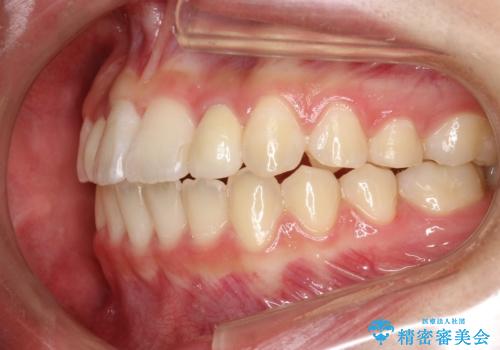
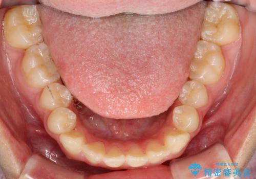
治療について
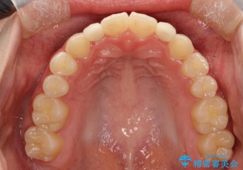
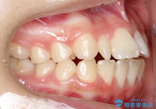
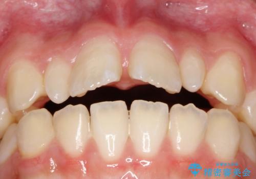
上あごの2番目の歯は矮小歯といって、生まれつき小さい歯となる事がよくあります。
このような場合、矯正によりスペースを集め、本来あるべき形態にセラミックで修正することもできます。
時間はかかりましたが、きれいな笑顔になりました。
かぶせ物の種類:PFZ standard
セラミック治療の注意事項(リスク・副作用など)
- 天然歯を削ります
- 硬い素材は天然歯を傷つけてしまう場合があります
- かみ合わせや歯ぎしりが強すぎる方はセラミックが割れてしまう可能性があります
- 自費診療(保険適用外治療)となります
ワイヤー矯正の注意事項(リスク・副作用など)
- 治療中は違和感や痛みが起こることがあります
- 症状により、抜歯が必要な場合があります
- 治療中は歯磨きがしにくくなるため、虫歯や歯周病になりやすくなります
- 矯正治療後の保定が不十分だと後戻り(元の位置に戻ろうとする動き)をします
- 自費診療(保険適用外)となります
当サイトの内容、テキスト、画像等の無断転載、複製、複写、盗用を固く禁じます。





















