症例詳細
Case detail
転勤しても治療を継続 ワイヤー矯正からインビザラインへの切り替え
治療症例の内容
- 診療科目
- 担当医
- 藤巻太一朗(ドクタープロフィール)
- 患者様
- 20代女性
- 矯正装置
- 審美装置・インビザライン
- 治療期間
- 2年4ヶ月
- 治療回数
- 10-30回
- 治療計画
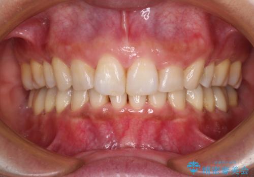
- 上の前歯の出っ歯と閉じにくい口元を気にして来院された患者様です。
口元を積極的に引っ込めるために、上顎左右の小臼歯1本ずつ抜歯することとしました。
- 費用(概算)
- 治療費の目安: 100万円費用は治療当時の料金となります
治療について
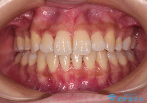
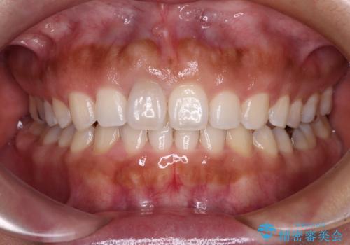
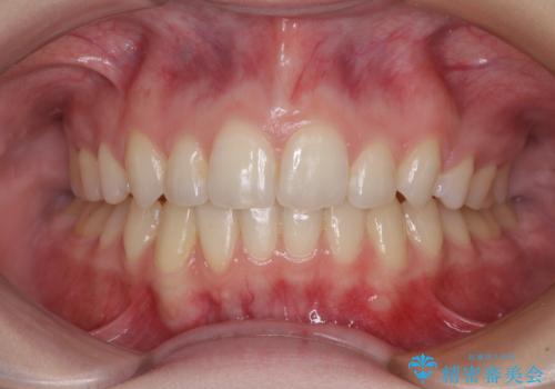
ワイヤー装置にて矯正治療を行っていましたが、急な転勤で毎月の通院が難しくなってしまいました。
抜歯したスペースは概ね閉じていたので、インビザラインに切り替えて通院回数を減らし、治療を継続していくこととしました。
突出していた口元がスッキリと仕上がり、患者様には大変満足していただきました。
ワイヤー矯正の注意事項(リスク・副作用など)
- 治療中は違和感や痛みが起こることがあります
- 症状により、抜歯が必要な場合があります
- 治療中は歯磨きがしにくくなるため、虫歯や歯周病になりやすくなります
- 矯正治療後の保定が不十分だと後戻り(元の位置に戻ろうとする動き)をします
- 自費診療(保険適用外)となります
マウスピース矯正の注意事項(リスク・副作用など)
- 口腔内・歯並びの状態によっては対応できない場合があります
- マウスピース型矯正装置の長時間装着(1日20時間以上)が必須です
- 治療計画通りに進めるためには、患者様の意志が重要になります
- 矯正治療後の保定が不十分だと後戻り(元の位置に戻ろうとする動き)をします
- 薬機法対象外の矯正歯科装置のため医薬品副作用被害救済制度の対象外となる場合があります
- 自費診療(保険適用外)となります
当サイトの内容、テキスト、画像等の無断転載、複製、複写、盗用を固く禁じます。




























