症例詳細
Case detail
オールセラミッククラウン 全体的な歯の治療
治療症例の内容
- 患者様
- 20代男性
- 治療期間
- 1年
- 治療回数
- 5-10回
- 治療計画
- 前歯の見た目と下の左右の奥歯の痛みが気になるので治療を行いたいといらっしゃった方の症例です。
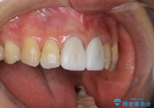
前歯については、上顎の前歯8本(右上4321、左上1234)の治療を希望されたため、右上32、左上23番目の歯は虫歯及び樹脂の除去後、オールセラミッククラウン(スタンダード)による補綴を行いました。
痛みのあった右上1、及び歯の神経が死んでいた左上4番目の歯は根管治療を行い、ファイバーコアによる築造後、オールセラミッククラウン(スタンダード)による補綴を行いました。
右上4及び左上1番目の歯は再根管治療を希望されなかったため、ファイバーコアによる築造後、オールセラミッククラウン(スタンダード)による補綴を行いました。
右下の奥歯については、右下6のクラウン及びメタルコアを除去したところ、歯根が垂直に破折していたため抜歯を提案し、ブリッジによる治療を行いました。
それに伴いクリアランス(補綴のための上下のスペース)の少ない右下臼歯部に、十分な歯冠長を確保するため歯冠長延長術を行いました。
左下奥歯については、左下4は虫歯が深く、根管治療及びオールセラミッククラウンによる治療を行いました。
またX線上で左下6の歯根破折を認めたため、抜歯を提案しブリッジによる治療を行いました。それに伴い、右下の臼歯部と同様に左下臼歯部に十分な歯冠長を与えるため歯冠長延長術を行いました。
- 費用(概算)
- オールセラミッククラウン(スタンダード)…¥100,000×15、ファイバーコア…¥20,000×6、仮歯…¥10,000×15、歯冠長延長術…¥100,000円×2費用は治療当時の料金となります
オールセラミッククラウンについて
今回用いたオールセラミッククラウンはジルコニアフレームという白い素材の上にセラミックを盛っているため、審美性が非常に高いのが特徴です。
また、ジルコニアは人工ダイヤモンドの材料にも使われているほど高い強度を持っており、そのためオールセラミッククラウンは審美性だけでなく、奥歯やブリッジの補綴も可能とするクラウンです。
歯冠長延長術について
歯冠長延長術とは歯肉弁根尖側移動術とも言い、歯の高さが低くクラウン(被せ物)による治療が難しい場合に、歯茎を歯根方向に下げることで歯の高さを確保する手術です。歯の高さが十分にあることで、外れにくいしっかりとしたクラウンを被せることができます。
根管治療の注意事項(リスク・副作用など)
- 根管治療により類似の全ての症例の問題が解決するわけではなく、症例はあくまでも一例です
- 根管治療により痛みや腫れがひかない事や、術後に痛みや腫れが生じる事、治療によるファイル破折やパーフォレーションなどの偶発症、術後の歯根破折を生じる可能性もあります
- 自費診療(保険適用外)となります
歯周病治療の注意事項(リスク・副作用など)
- 外科手術のため、術後に痛みや腫れ、違和感を伴います
- 歯周組織再生治療は患者様の状態によって術後の経過が異なります(見た目が改善しない場合もあります)
- 歯周組織再生治療は自費診療(保険適用外)となります
セラミック治療の注意事項(リスク・副作用など)
- 天然歯を削ります
- 硬い素材は天然歯を傷つけてしまう場合があります
- かみ合わせや歯ぎしりが強すぎる方はセラミックが割れてしまう可能性があります
- 自費診療(保険適用外治療)となります
当サイトの内容、テキスト、画像等の無断転載、複製、複写、盗用を固く禁じます。
































































