症例詳細
Case detail
大きくなった虫歯のセラミック治療
治療症例の内容
- 診療科目
- 担当医
- 藤巻太一朗(ドクタープロフィール)
- 患者様
- 50代女性
- 治療期間
- 1ヶ月
- 治療回数
- 2-5回
- 治療計画
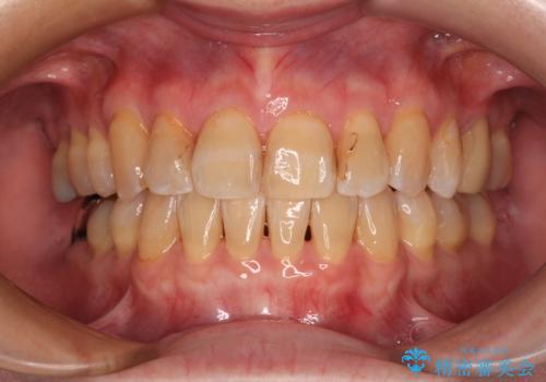
- 半年に1度のメインテナンスで虫歯が急に大きくなっていたことが判明した患者様です。
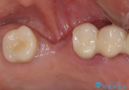
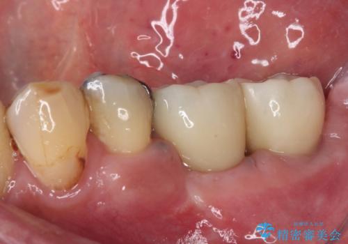
 虫歯の大きくなった歯はセラミッククラウンに、接触部分のみが虫歯となった歯セラミックインレーにて治療することとしました。
- 費用(概算)
- 治療費の目安: 18万円費用は治療当時の料金となります
治療について
痛みなどの症状はなかったものの、日頃のフロスが引っかかるようになったとのことで来院され、虫歯を見つけることができました。
症状が現れる前に治療を行えたことで、神経を保存することができ、患者様に大変満足していただきました。
セラミック治療の注意事項(リスク・副作用など)
- 天然歯を削ります
- 硬い素材は天然歯を傷つけてしまう場合があります
- かみ合わせや歯ぎしりが強すぎる方はセラミックが割れてしまう可能性があります
- 自費診療(保険適用外治療)となります
当サイトの内容、テキスト、画像等の無断転載、複製、複写、盗用を固く禁じます。








 
                       
                                                          









 
                   
                   
                  