症例詳細
Case detail
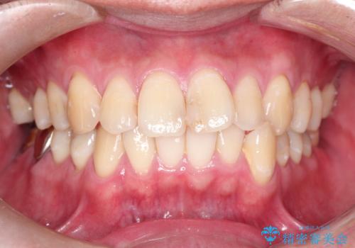
全体のすきっぱ マウスピース矯正~インビザライン~
治療症例の内容
- 担当医
- 患者様
- 20代女性
- 矯正装置
- インビザライン
- 治療期間
- 1年
- 治療回数
- 10-30回
- 治療計画
- すきっぱが気になることを主訴にご来院された患者様です。
咬み合わせが深く、上下の正中もずれていたため、できる範囲でそれらも治す方針となりました。
インビザラインによるマウスピース矯正で治療することになりました。
- 費用(概算)
- 75万円費用は治療当時の料金となります
治療詳細
すきっぱになる原因は様々あります。
今回の患者様は、舌壁(舌で前歯を押すくせ)があったため、すきっぱになっていました。そのため、舌の筋力トレーニングを指導しました。
また、矯正治療は一生に一度の治療になることがほとんどなので、咬み合わせや患者様が気付かない部分(正中のズレ)なども極力治していきます。(骨格などによる限界あり)
治療の注意事項
矯正後は後戻りのリスクがあります。
リテーナー(裏側のワイヤー、マウスピースなど)を使用して頂きます。
マウスピース矯正の注意事項(リスク・副作用など)
- 口腔内・歯並びの状態によっては対応できない場合があります
- マウスピース型矯正装置の長時間装着(1日20時間以上)が必須です
- 治療計画通りに進めるためには、患者様の意志が重要になります
- 矯正治療後の保定が不十分だと後戻り(元の位置に戻ろうとする動き)をします
- 薬機法対象外の矯正歯科装置のため医薬品副作用被害救済制度の対象外となる場合があります
- 自費診療(保険適用外)となります
当サイトの内容、テキスト、画像等の無断転載、複製、複写、盗用を固く禁じます。


















