症例詳細
Case detail
治療途中の奥歯をセラミックに 根管治療と審美歯科治療
治療症例の内容
- 診療科目
- 治療カテゴリ
- 担当医
- 藤巻太一朗(ドクタープロフィール)
- 患者様
- 40代女性
- 治療期間
- 2ヶ月
- 治療回数
- 2-5回
- 治療計画
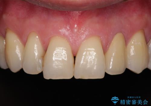
- 近医にて無症状であった歯の神経を抜くことになり、その後痛みが強くなったとのことで来院された患者様です。
根管治療を行った後に、フルジルコニアクラウンにて補綴することとしました。
- 費用(概算)
- 治療費の目安: 20万円費用は治療当時の料金となります
治療について
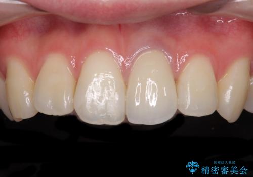
ラバーダム防湿による無菌的処置を徹底するなどし、初回の治療後には痛みが引いていました。
根管充填後は資質に堅さの素材で土台を築造し、フルジルコニアクラウンにて補綴しました。
フルジルコニアクラウンによる咬み心地も良く、患者様には大変満足していただきました。
セラミック治療の注意事項(リスク・副作用など)
- 天然歯を削ります
- 硬い素材は天然歯を傷つけてしまう場合があります
- かみ合わせや歯ぎしりが強すぎる方はセラミックが割れてしまう可能性があります
- 自費診療(保険適用外治療)となります
根管治療の注意事項(リスク・副作用など)
- 根管治療により類似の全ての症例の問題が解決するわけではなく、症例はあくまでも一例です
- 根管治療により痛みや腫れがひかない事や、術後に痛みや腫れが生じる事、治療によるファイル破折やパーフォレーションなどの偶発症、術後の歯根破折を生じる可能性もあります
- 自費診療(保険適用外)となります
当サイトの内容、テキスト、画像等の無断転載、複製、複写、盗用を固く禁じます。













