症例詳細
Case detail
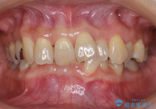
20代女性 受け口 手術をしなくても変わります
治療症例の内容
- 診療科目
- 担当医
- 井上季実子(ドクタープロフィール)
- 患者様
- 20代女性
- 矯正装置
- 審美装置
- 治療期間
- 3年1ヶ月
- 治療回数
- 10-30回
- 治療計画
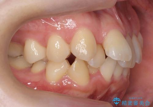
- 前歯の受け口を主訴に来院。
前歯の切端同士を合わせることはできますが、顎を前に出さないと咬めない状態でした。
下の小臼歯を2本抜歯しています。
上顎の両側7番は後から生えてきています。
- 費用(概算)
- 90万円費用は治療当時の料金となります
治療について
少し時間はかかりましたが、しっかり受け口を治すことができました。
口元も閉じやすくなりました。
ワイヤー矯正の注意事項(リスク・副作用など)
- 治療中は違和感や痛みが起こることがあります
- 症状により、抜歯が必要な場合があります
- 治療中は歯磨きがしにくくなるため、虫歯や歯周病になりやすくなります
- 矯正治療後の保定が不十分だと後戻り(元の位置に戻ろうとする動き)をします
- 自費診療(保険適用外)となります
当サイトの内容、テキスト、画像等の無断転載、複製、複写、盗用を固く禁じます。




















