症例詳細
Case detail
奥歯の被せもの
治療症例の内容
- 診療科目
- 治療カテゴリ
- 担当医
- 河口智英(ドクタープロフィール)
- 患者様
- 40代女性
- 治療期間
- 2ヶ月
- 治療回数
- 2-5回
- 治療計画
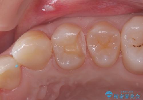
- 定期健診にて根尖に病変を認めたため治療を希望された患者さまです。
被せものを除去すると深いむし歯もありました。
歯肉に炎症がない事を確認してセラミッククラウンにて治療を行っています。
根管治療は専門医の先生に依頼しております。
- 費用(概算)
- 13万円(根管治療は別途)費用は治療当時の料金となります
治療について
最終的な被せものをする前に歯肉に炎症がないかを確認する必要があります。
炎症が残っている場合には歯周外科を提案する場合もあります。
セラミック治療の注意事項(リスク・副作用など)
- 天然歯を削ります
- 硬い素材は天然歯を傷つけてしまう場合があります
- かみ合わせや歯ぎしりが強すぎる方はセラミックが割れてしまう可能性があります
- 自費診療(保険適用外治療)となります
当サイトの内容、テキスト、画像等の無断転載、複製、複写、盗用を固く禁じます。














