症例詳細
Case detail
出っ歯・過蓋咬合 奥歯を後ろに下げて非抜歯で治療
治療症例の内容
- 患者様
- 20代女性
- 矯正装置
- プラスチックブラケット
- 治療期間
- 2年9ヶ月
- 治療回数
- 10-30回
- 治療計画
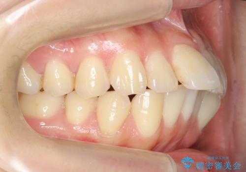
- 出っ歯を主訴に来院。
下の前歯が上の前歯の根元に当たっている過蓋咬合でした。
また、右のかみ合わせだけ小臼歯1本分、上が前にずれてしまっていました。
ずれの程度は大きかったので抜歯も考えられましたが、患者様と相談し、治療期間はかかりますがマイクロインプラントを使用して非抜歯で治療を行うこととしました。
- 費用(概算)
- 90万円費用は治療当時の料金となります
治療について
難しい場合は抜歯もあり得ると説明しましたが、結果非抜歯で右のかみ合わせをよくできました。
また、過蓋咬合のため、下の前歯に装置をつけるのが大変難しかったですが、しっかり治療しました。
治療後の感想(患者様より)
非常に満足しています。
初回のカウンセリング時から丁寧に診察していただき、歯並びの問題の詳しい説明と、的確な治療方針の説明があり、安心して治療を受けることができました。
自身はかみ合わせが悪く、難しい症例ということでしたが、とても良い仕上がりとなり、期待以上の効果が得られたと思っています。
ワイヤー矯正の注意事項(リスク・副作用など)
- 治療中は違和感や痛みが起こることがあります
- 症状により、抜歯が必要な場合があります
- 治療中は歯磨きがしにくくなるため、虫歯や歯周病になりやすくなります
- 矯正治療後の保定が不十分だと後戻り(元の位置に戻ろうとする動き)をします
- 自費診療(保険適用外)となります
当サイトの内容、テキスト、画像等の無断転載、複製、複写、盗用を固く禁じます。





















