症例詳細
Case detail
詰め物が取れた 神経の取り除かれた歯のクラウンによる補綴治療
治療症例の内容
- 診療科目
- 治療カテゴリ
- 担当医
- 藤巻太一朗(ドクタープロフィール)
- 患者様
- 30代女性
- 治療期間
- 1ヶ月
- 治療回数
- 2-5回
- 治療計画
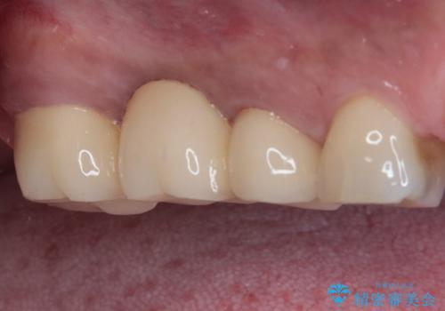
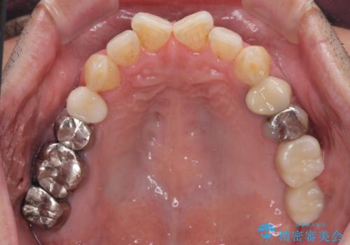
- 神経を抜く処置の後に装着した詰め物が外れてしまったとのことで来院された患者様です。
患者様自身、当院の症例をご覧になり、神経の取り除かれた歯はクラウンを装着するべきと理解していただいていたため、詰め物の捕れた歯とその後ろの歯の2本を補綴治療することとしました。
- 費用(概算)
- 治療費の目安: 20万円費用は治療当時の料金となります
治療について
根管治療の提案をしましたが、今回は取り急ぎ補綴治療のみを希望されました。
色が白いように思われましたが、今後クリーニングとホワイトニングを行っていきたいとのことでした。
銀歯が白い歯となったことはもちろん、クリーニングやホワイトニングにも関心を向けることができ、患者様には大変満足していただきました。
セラミック治療の注意事項(リスク・副作用など)
- 天然歯を削ります
- 硬い素材は天然歯を傷つけてしまう場合があります
- かみ合わせや歯ぎしりが強すぎる方はセラミックが割れてしまう可能性があります
- 自費診療(保険適用外治療)となります
当サイトの内容、テキスト、画像等の無断転載、複製、複写、盗用を固く禁じます。










