症例詳細
Case detail
前歯に穴が空いた 根管治療とオールセラミッククラウン
治療症例の内容
- 診療科目
- 治療カテゴリ
- 担当医
- 藤巻太一朗(ドクタープロフィール)
- 患者様
- 30代女性
- 治療期間
- 2ヶ月
- 治療回数
- 2-5回
- 治療計画
- 前歯に穴が空いてしまったとのことで来院された患者様です。
変色が気になっていたものの歯医者が怖くて来院を躊躇されていたそうです。
歯髄は既に壊死していたため、根管治療を行い、その後オールセラミッククラウンにて補綴することとしました。
- 費用(概算)
- 治療費の目安: 20万円費用は治療当時の料金となります
治療について
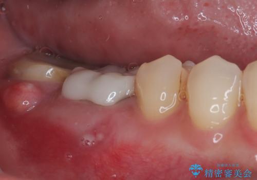
審美障害が著しかったため、速やかに仮歯に置き換え、その後根管治療を行いました。根尖部の骨透過像が大きかったので、定期的にレントゲン写真を撮影し、1年後には有意に縮小していることが確認できました。
治療後は周りの人の視線を気にしなくて済むようになり、患者様には大変満足していただきました。
リスクについて
セラミックは破折などにより修復や再製作が必要となることがあります。
根管治療後は一定の確率で症状が再発する可能性があります。
セラミック治療の注意事項(リスク・副作用など)
- 天然歯を削ります
- 硬い素材は天然歯を傷つけてしまう場合があります
- かみ合わせや歯ぎしりが強すぎる方はセラミックが割れてしまう可能性があります
- 自費診療(保険適用外治療)となります
当サイトの内容、テキスト、画像等の無断転載、複製、複写、盗用を固く禁じます。










