症例詳細
Case detail
すきっ歯のワイヤー矯正による治療
治療症例の内容
- 診療科目
- 担当医
- 患者様
- 20代女性
- 矯正装置
- クリアブラケット
- 治療期間
- 2年1ヶ月
- 治療回数
- 10-30回
- 治療計画
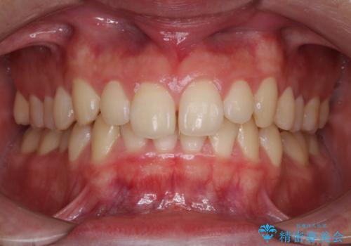
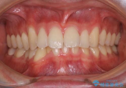
- 前歯の隙間を閉じたいとのことで来院されました。
ワイヤー矯正にてスペースを閉じで、上下の歯のかみ合わせを改善することとなりました。
- 費用(概算)
- 約80万円費用は治療当時の料金となります
治療について
矯正治療には多少の痛みが伴いましたが、隙間もなくきれいな歯並びへと改善されました。
ワイヤー矯正の注意事項(リスク・副作用など)
- 治療中は違和感や痛みが起こることがあります
- 症状により、抜歯が必要な場合があります
- 治療中は歯磨きがしにくくなるため、虫歯や歯周病になりやすくなります
- 矯正治療後の保定が不十分だと後戻り(元の位置に戻ろうとする動き)をします
- 自費診療(保険適用外)となります
当サイトの内容、テキスト、画像等の無断転載、複製、複写、盗用を固く禁じます。

















