症例詳細
Case detail
親知らず抜歯と下奥歯の被せもの
治療症例の内容
- 診療科目
- 担当医
- 患者様
- 30代男性
- 治療期間
- 2ヶ月
- 治療回数
- 2-5回
- 治療計画
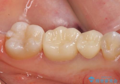
- 当院で前歯を治療中の患者様でしたが、左下1番奥の金属のつめものが外れたため、奥歯の治療もご希望されました。
その歯のすぐ後ろには埋まっている親知らずがあり、歯周ポケットも8mmありました(正常値3mm以下)。
このままでは適合のよい被せものを製作するのは難しいため、親知らず抜歯を行い、歯肉の位置が変化するのを待ってから被せものを製作しました。
- 費用(概算)
- 8万円(親知らず抜歯は別途。詳細は下に記載あり)費用は治療当時の料金となります
治療詳細
外れたつめものの境目は歯肉の下でしたが、親知らずの抜歯を行うことで、歯肉の位置が変化して、境目が見えるようになり、適合のよい被せものを製作することができました。
今回のようなケースは、親知らず抜歯が有意義になります。
親知らず抜歯について
親知らずは一生問題を起こさないこともありますが、手前の歯を圧迫するなどして、急に痛み出す可能性があります。
また、親知らずが歯肉の下に埋まっている場合でも、歯肉の下で手前の歯と接しており、あいだに汚れが入り込み、虫歯や歯周病の原因になることも珍しくありません。
親知らず抜歯は、若いときに行う方が楽であり、治癒も早いので、親知らずがどのような状態かチェックしてほしい、抜くべきか抜かない方がよい(移植に使える可能性がある等)か診てほしいという場合は、ご相談ください。
※保険適応可 数千円~1万円目安
治療の注意事項
親知らず抜歯は外科処置であり、さまざまなリスクを伴います。非常に難しいケースだと判断した場合、大学病院などの口腔外科での抜歯をおすすめすることがあります。
セラミック治療の注意事項(リスク・副作用など)
- 天然歯を削ります
- 硬い素材は天然歯を傷つけてしまう場合があります
- かみ合わせや歯ぎしりが強すぎる方はセラミックが割れてしまう可能性があります
- 自費診療(保険適用外治療)となります
外科処置の注意事項(リスク・副作用など)
- 外科手術のため、術後に出血、痛みや腫れ、違和感を伴います
- 口腔内の状態によっては適応できないことがあります
当サイトの内容、テキスト、画像等の無断転載、複製、複写、盗用を固く禁じます。








