症例詳細
Case detail
変色した保険診療の前歯をセラミックできれいに 矯正治療後の審美治療
治療症例の内容
- 診療科目
- 治療カテゴリ
- 担当医
- 藤巻太一朗(ドクタープロフィール)
- 患者様
- 20代女性
- 治療期間
- 2ヶ月
- 治療計画
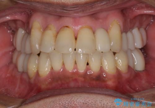
- 他院で矯正治療を行った後、保険診療で装着した前歯のクラウンの変色を気にして来院された患者様です。
保険診療では樹脂を用いた素材で製作するため、水分が吸収されやすく、一緒に色素が取り込まれるために変色をしてしまいます。
また、裏打ちに主に銀を用いた金属材料を使用するため、金属自体が黒くなったり、イオンとなり溶け出したりして、歯肉ラインが黒くなってしまうことがあります。
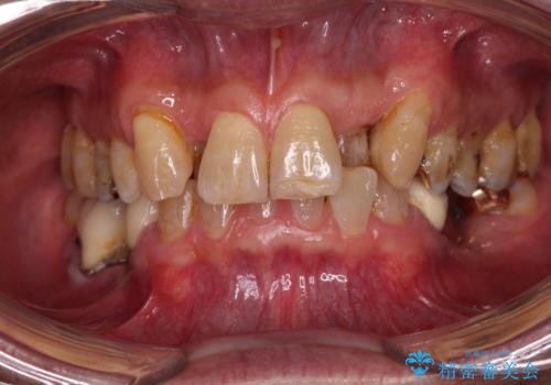
一部は根管治療を行い、土台の金属も歯の色に近いものへと変更した上で、オールセラミッククラウンにて補綴することとしました。
- 費用(概算)
- 治療費の目安: 65万円費用は治療当時の料金となります
治療について
矯正治療を始める前から、前歯の変色が気になっていたようですが、矯正治療が終わるまで待つようにと言われたとのことでした。
虫歯の進行などはさほど認められなかったので、根管治療実施後に速やかにオールセラミッククラウンにて補綴しました。
数年も前から気になっていた前歯が自然な仕上がりとなり、患者様には大変満足していただきました。
リスクについて
セラミックは破折などにより修復や再製作が必要となることがあります。
当サイトの内容、テキスト、画像等の無断転載、複製、複写、盗用を固く禁じます。














