症例詳細
Case detail
前歯部補綴 (黒ずみの改善)
治療症例の内容
- 診療科目
- 治療カテゴリ
- 担当医
- 河口智英(ドクタープロフィール)
- 患者様
- 30代女性
- 治療期間
- 2ヶ月
- 治療回数
- 2-5回
- 治療計画
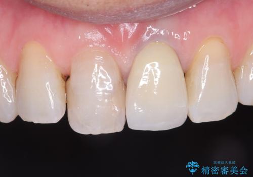
- 前歯の歯頚部が黒く変色していることを主訴に来院された患者様です。
以前に他院にて金属の土台とセラミックの被せものによる治療を行っていました。
被せものを外し、白い土台に置き換えてから、金属を用いないオールセラミッククラウンにて治療を行いました。
- 費用(概算)
- 26万円(税別)費用は治療当時の料金となります
治療について
金属を用いた治療では、経年的に口腔内に金属イオンが少しずつ溶出することで歯や歯肉が黒くなることがあります。前歯には金属を用いないオールセラミッククラウンがおすすめです。
治療に関するリスクと副作用等の情報
セラミッククラウンは強すぎる力がかかると欠けてしまうリスクがあります。(保証期間内でしたら再製作いたします。)
セラミック治療の注意事項(リスク・副作用など)
- 天然歯を削ります
- 硬い素材は天然歯を傷つけてしまう場合があります
- かみ合わせや歯ぎしりが強すぎる方はセラミックが割れてしまう可能性があります
- 自費診療(保険適用外治療)となります
当サイトの内容、テキスト、画像等の無断転載、複製、複写、盗用を固く禁じます。











