症例詳細
Case detail
根管治療後の奥歯のセラミッククラウン治療 歯肉からの出血が改善
治療症例の内容
- 診療科目
- 治療カテゴリ
- 担当医
- 藤巻太一朗(ドクタープロフィール)
- 患者様
- 20代男性
- 治療期間
- 1ヶ月
- 治療回数
- 2-5回
- 治療計画
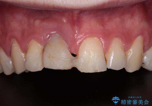
- 根管治療後に歯肉から出血しやすいため、補綴治療を希望した来院された患者様です。
根管治療後に、虫歯によって欠損となった部分をレジン(樹脂)で詰めた際、充填が不適であったため歯肉の炎症が認められました。
患者様と相談の上、根管充填された部分には触れずに土台の立て直しを行い、フルジルコニアクラウンにて補綴することとしました。
- 費用(概算)
- 治療費の目安: 10万円費用は治療当時の料金となります
治療について
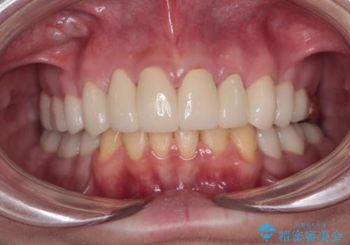
フルジルコニアクラウンを装着してからは、歯肉からの出血はなくなり、レジンを充填されていた頃よりも舌触りも大幅に改善され、患者様には大変満足していただきました。
リスクについて
セラミックは破折などにより修復や再製作が必要となることがあります。
セラミック治療の注意事項(リスク・副作用など)
- 天然歯を削ります
- 硬い素材は天然歯を傷つけてしまう場合があります
- かみ合わせや歯ぎしりが強すぎる方はセラミックが割れてしまう可能性があります
- 自費診療(保険適用外治療)となります
当サイトの内容、テキスト、画像等の無断転載、複製、複写、盗用を固く禁じます。










