症例詳細
Case detail
40代女抜歯適応の歯を保存した一例
治療症例の内容
- 診療科目
- 治療カテゴリ
- 担当医
- 患者様
- 40代女性
- 治療期間
- 3ヶ月
- 治療回数
- 2-5回
- 治療計画
- 被せものと虫歯の除去
→部分矯正により歯を引っ張り出す
→土台の築造
→改めて被せものの製作
- 費用(概算)
- 約15万円費用は治療当時の料金となります
治療について
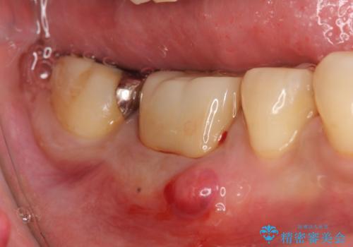
虫歯が骨より深い位置まで到達しているため、本来であれば抜歯の適応となる歯ですが、「いずれ抜歯になってしまってもよいので少しでも長く使いたい」という希望により、治療をおこないました。
部分矯正により歯を引っ張り出すことで、健康な歯を歯ぐきのレベルまで持ち上げます。
およそ1か月で目標レベルまで出てきたため、1か月保定した後土台をたてて被せものを製作しました。頭でっかちな構造のため良い経過は期待できないので、保険内での治療も提案しましたが、目立つ部位であったため相談の上、審美的に回復しました。
被せものの種類:e.max プレスクラウン (エコノミー)
今回のように、抜歯適応であっても炎症が無い場合は無理やりにでも保存する意義はあるかもしれませんね。
セラミック治療の注意事項(リスク・副作用など)
- 天然歯を削ります
- 硬い素材は天然歯を傷つけてしまう場合があります
- かみ合わせや歯ぎしりが強すぎる方はセラミックが割れてしまう可能性があります
- 自費診療(保険適用外治療)となります
当サイトの内容、テキスト、画像等の無断転載、複製、複写、盗用を固く禁じます。


















