症例詳細
Case detail
とにかく歯を白くしたい 前歯の審美歯科治療
治療症例の内容
- 診療科目
- 治療カテゴリ
- 担当医
- 藤巻太一朗(ドクタープロフィール)
- 患者様
- 20代女性
- 治療期間
- 6ヶ月
- 治療回数
- 2-5回
- 治療計画
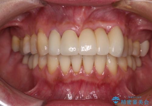
- 前歯の歯列を整えたいとのことで来院された患者様です。
既に顎の骨を切る矯正治療を受けた患者様でしたが、もう少し治療をしたいとのことで来院されました。
インビザラインを用いて治療を開始したものの、どうしても自己管理ができないため、続けることができませんでした。
その後、他院で手っ取り早く歯を白くする処置(歯のマニキュア)を受けられたのですが、結果があまりにも酷かったため、当院にてセラミッククラウンによる補綴治療を行うこととしました。
- 費用(概算)
- 治療費の目安: 200万円費用は治療当時の料金となります
治療について
一度矯正治療を中断してしまったため、当院にてセラミック治療をお願いすることを躊躇されたようでしたが、他院でのいい加減な治療で嫌な思いをされたため、しっかりとした治療を受けたいと再度ご来院いただきました。
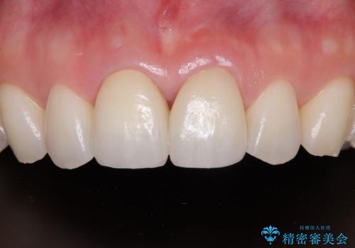
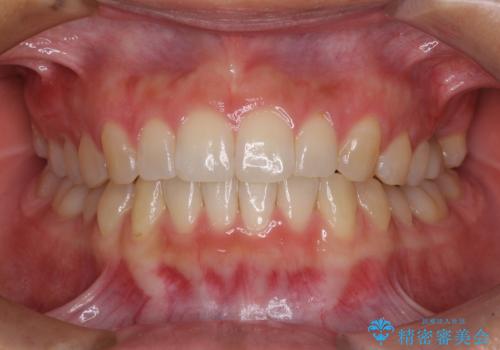
治療直後はクラウンと歯肉のラインに隙間はなく、歯が見えることはなかったのですが、写真を撮るまでの間に美容外科手術を受けられたため、下の前歯の歯肉ラインに隙間ができてしまいました。
それでも望んでいた色調や形の前歯となり、患者様には大変満足していただきました。
リスクについて
セラミックは破折などにより修復や再製作が必要となることがあります。
セラミック治療の注意事項(リスク・副作用など)
- 天然歯を削ります
- 硬い素材は天然歯を傷つけてしまう場合があります
- かみ合わせや歯ぎしりが強すぎる方はセラミックが割れてしまう可能性があります
- 自費診療(保険適用外治療)となります
当サイトの内容、テキスト、画像等の無断転載、複製、複写、盗用を固く禁じます。

























