症例詳細
Case detail
インビザラインによる前歯のでこぼこの改善
治療症例の内容
- 診療科目
- 治療カテゴリ
- 担当医
- 藤巻太一朗(ドクタープロフィール)
- 患者様
- 20代女性
- 矯正装置
- マウスピース
- 治療期間
- 11ヶ月
- 治療回数
- 10-30回
- 治療計画
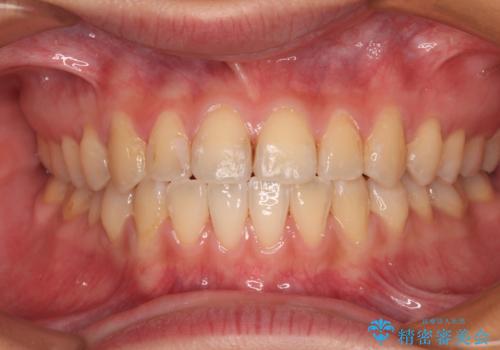
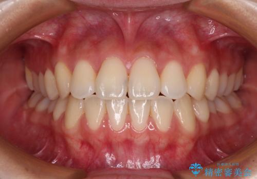
- 前歯のでこぼこを気にして来院された患者様です。
インビザラインを用い、IPR(歯と歯の間を削る)と歯列全体を後方に移動させることで、口元を整えていくこととしました。
- 費用(概算)
- 治療費の目安: 75万円費用は治療当時の料金となります
治療について
歯列はそれほど乱れてはいなかったものの、歯列全体を後方に移動させる必要があったため、治療期間は1年弱となりました。またインビザラインが苦手とする上顎の前から2番目の歯の移動に時間がかかったことも1年近くかかった要因の1つと言えます。
治療前にはブラッシングが困難で腫れることのあった上顎前歯も、歯並びが整ったことで、審美的な改善だけでなく清掃性も向上し、患者様には大変満足していただきました。
リスクについて
矯正治療は後戻りのリスクがあります。
マウスピース矯正の注意事項(リスク・副作用など)
- 口腔内・歯並びの状態によっては対応できない場合があります
- マウスピース型矯正装置の長時間装着(1日20時間以上)が必須です
- 治療計画通りに進めるためには、患者様の意志が重要になります
- 矯正治療後の保定が不十分だと後戻り(元の位置に戻ろうとする動き)をします
- 薬機法対象外の矯正歯科装置のため医薬品副作用被害救済制度の対象外となる場合があります
- 自費診療(保険適用外)となります
当サイトの内容、テキスト、画像等の無断転載、複製、複写、盗用を固く禁じます。
























