症例詳細
Case detail
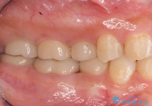
見える銀歯を白く 下顎セラミックブリッジ治療
治療症例の内容
- 診療科目
- 治療カテゴリ
- 担当医
- 大元洋佑(ドクタープロフィール)
- 患者様
- 30代女性
- 治療期間
- 1ヶ月
- 治療回数
- 2-5回
- 治療計画
- 笑った時に見える銀歯を白くしたいとの希望で来院されました。
インレータイプのブリッジが装着されており、虫歯の再発が起きやすいような状況に見受けられたので、ジルコニアを用いたクラウンタイプのブリッジの製作による審美性の改善を計画します。
- 費用(概算)
- 30万円費用は治療当時の料金となります
ブリッジ治療について
ブリッジの長持ちに関わる要因として支台となる歯に虫歯や歯周病、過大な負荷等の問題が起きないことが挙げられます。
長期的な予後を達成するために、清掃性のチェックや支台となる歯の精査・咬合の評価が非常に重要となります。
銀歯を外す際のリスクについて
銀歯はX線写真で真っ白に映るため内部に虫歯等の問題が発生している場合があり、深い虫歯が存在する場合は神経治療が必要となることもあります。
セラミック治療の注意事項(リスク・副作用など)
- 天然歯を削ります
- 硬い素材は天然歯を傷つけてしまう場合があります
- かみ合わせや歯ぎしりが強すぎる方はセラミックが割れてしまう可能性があります
- 自費診療(保険適用外治療)となります
当サイトの内容、テキスト、画像等の無断転載、複製、複写、盗用を固く禁じます。








