症例詳細
Case detail
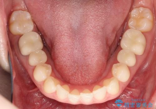
前歯の隙間を改善(オールセラミッククラウン)
治療症例の内容
- 診療科目
- 治療カテゴリ
- 担当医
- 河口智英(ドクタープロフィール)
- 患者様
- 40代男性
- 治療期間
- 1ヶ月
- 治療回数
- 2-5回
- 治療計画
- 前歯の隙間を短期間で閉じたいと希望され来院された患者様です。
矯正治療の提案もしましたが、短期間での処置を希望されたためオールセラミッククラウンによる治療を行いました。
- 費用(概算)
- 33万円(仮歯 1万円/本、オールセラミッククラウン・スタンダード 10万円/本)費用は治療当時の料金となります
治療について
オールセラミッククラウンは色調及び形態を短期間で改善できる治療です。
このケースにおいて前歯の隙間を矯正治療で改善した場合、下の前歯と上の前歯が噛みこんでいるため、上下顎の矯正治療が必要となり治療期間と費用の負担が大きくなります。
矯正治療と被せもの治療の両方のメリット、デメリットを提示したうえで今回は被せものによる治療を行い患者さんも大変満足されました。
オールセラミッククラウンの治療を終えた後の注意点として、
・セラミックが強い歯ぎしりや外傷により破折してしまうリスク
・強いブラッシングや経年変化で歯茎が下がり歯と被せものの境目が見えてくるリスク
があります。
セラミック治療の注意事項(リスク・副作用など)
- 天然歯を削ります
- 硬い素材は天然歯を傷つけてしまう場合があります
- かみ合わせや歯ぎしりが強すぎる方はセラミックが割れてしまう可能性があります
- 自費診療(保険適用外治療)となります
当サイトの内容、テキスト、画像等の無断転載、複製、複写、盗用を固く禁じます。

















