症例詳細
Case detail
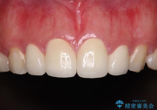
前歯の1歯のセラミッククラウン(スタンダードタイプ)
治療症例の内容
- 診療科目
- 治療カテゴリ
- 担当医
- 藤巻太一朗(ドクタープロフィール)
- 患者様
- 30代男性
- 治療期間
- 2ヶ月
- 治療回数
- 2-5回
- 治療計画
- 長年装着されていた、前歯の保険の被せ物が変色してきており、さらに、たまに歯茎に膿のようなものが見られるとのことでした。
根管治療後、オールセラミック(ジルコニアクラウン)にて補綴することとしました。
- 費用(概算)
- 治療費の目安: 13万円費用は治療当時の料金となります
治療を終えて
根尖病変による症状はなかったのですが、膿の出口が認められたため、根管治療を実施しました。治療後、膿の出口は閉塞しました。
前歯1歯のクラウンであったため、お勧めはオーダーメイドのクラウンでしたが、選択されたスタンダードタイプでも患者様には満足していただけました。
動画
セラミック治療の注意事項(リスク・副作用など)
- 天然歯を削ります
- 硬い素材は天然歯を傷つけてしまう場合があります
- かみ合わせや歯ぎしりが強すぎる方はセラミックが割れてしまう可能性があります
- 自費診療(保険適用外治療)となります
当サイトの内容、テキスト、画像等の無断転載、複製、複写、盗用を固く禁じます。






