症例詳細
Case detail
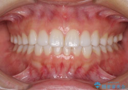
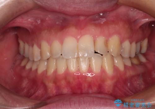
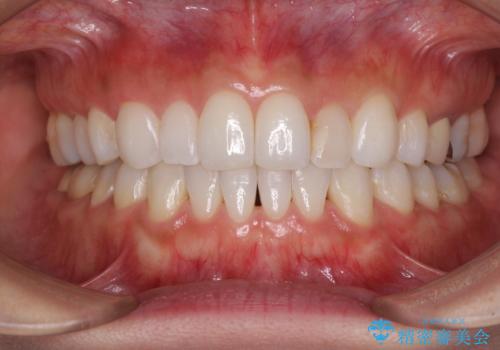
咬合平面の乱れを改善(全顎矯正歯科治療)
治療症例の内容
- 担当医
- 藤巻太一朗(ドクタープロフィール)
- 患者様
- 30代女性
- 矯正装置
- 審美装置
- 治療期間
- 1年
- 治療回数
- 10-30回
- 治療計画
- 左下欠損部へのインプラント治療を希望されて来院されました。
咬合平面が乱れていたため、矯正治療によるかみ合わせの改善を行った上で、インプラント治療を行うこととしました。
- 費用(概算)
- 治療費の目安: 110万円費用は治療当時の料金となります
治療を終えて
治療途中で体調を崩してしまったため、インプラント治療からブリッジによる補綴治療へ切り替え、矯正治療も早めの1年で装置を外しました。
下に降りていた左上の大臼歯が本来の位置に動き、かみ合わせが大変安定し、患者様には大変満足していただけました。
リスクについて
矯正治療は後戻りのリスクがあります。
セラミックは破折などにより修復や再製作が必要となることがあります。
ワイヤー矯正の注意事項(リスク・副作用など)
- 治療中は違和感や痛みが起こることがあります
- 症状により、抜歯が必要な場合があります
- 治療中は歯磨きがしにくくなるため、虫歯や歯周病になりやすくなります
- 矯正治療後の保定が不十分だと後戻り(元の位置に戻ろうとする動き)をします
- 自費診療(保険適用外)となります
当サイトの内容、テキスト、画像等の無断転載、複製、複写、盗用を固く禁じます。









