症例詳細
Case detail
ミニスクリューアンカーを用いた非抜歯矯正治療
治療症例の内容
- 担当医
- 藤巻太一朗(ドクタープロフィール)
- 患者様
- 50代女性
- 矯正装置
- 審美装置
- 治療期間
- 1年5ヶ月
- 治療回数
- 10-30回
- 治療計画
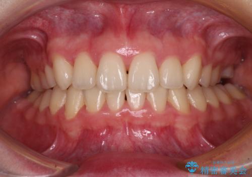
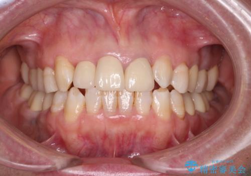
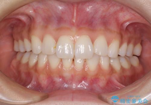
- 右上の奥歯が揺れて気になるとのことで来院された患者様です。
治療を担当した福本院長(現表参道しらゆり歯科院長)より矯正治療の依頼があり、上下前歯部を中心に歯列を整えることとしました。
- 費用(概算)
- 治療費の目安: 80万円(矯正治療費のみ)費用は治療当時の料金となります
治療について
下顎奥歯の後方にマイクロインプラントを入れ、それらを固定源に歯列を後方に下げていくことで、前歯のでこぼこを解消するスペースを獲得しました。
矯正治療の途中から、前歯の清掃性の向上を実感され、装置除去時には矯正治療を選択して良かったと満足していただきました。
リスクについて
矯正治療は後戻りの可能性があります。
ワイヤー矯正の注意事項(リスク・副作用など)
- 治療中は違和感や痛みが起こることがあります
- 症状により、抜歯が必要な場合があります
- 治療中は歯磨きがしにくくなるため、虫歯や歯周病になりやすくなります
- 矯正治療後の保定が不十分だと後戻り(元の位置に戻ろうとする動き)をします
- 自費診療(保険適用外)となります
当サイトの内容、テキスト、画像等の無断転載、複製、複写、盗用を固く禁じます。






















