症例詳細
Case detail
大きなむし歯のセラミッククラウン 神経を取り除かずに保存
治療症例の内容
- 診療科目
- 治療カテゴリ
- 担当医
- 藤巻太一朗(ドクタープロフィール)
- 患者様
- 30代男性
- 治療期間
- 3ヶ月
- 治療回数
- 2-5回
- 治療計画
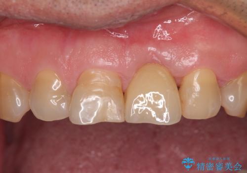
- 近医にて神経を取り除かないと処置ができないと言われたとのことで来院された患者様です。
むし歯が大きく、神経を取り除く可能性があることは患者様も理解されていましたが、症状が全くないため、何とか神経を保存したいとのご希望でした。
抜髄処置(神経を取り除く処置)となってしまう可能性があることを了解いただき、生活歯髄療法あるいは部分断髄法による処置を
- 費用(概算)
- 治療費の目安: 15万円費用は治療当時の料金となります
治療について
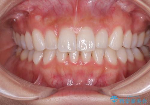
処置前と処置後との診査において、歯髄の反応に変化はなく、抜髄処置を行うことなく治療を終えることができました。
むし歯が相当大きかったため、オールセラミッククラウンにて補綴を行いました。
今後もレントゲン写真の撮影などにより、定期的に歯髄の状態をチェックしていく必要があります。
リスクについて
セラミックは破折などにより修復や再製作が必要となることがあります。
断髄処置による治療後は一定の確率で症状が発生する可能性があります。
セラミック治療の注意事項(リスク・副作用など)
- 天然歯を削ります
- 硬い素材は天然歯を傷つけてしまう場合があります
- かみ合わせや歯ぎしりが強すぎる方はセラミックが割れてしまう可能性があります
- 自費診療(保険適用外治療)となります
当サイトの内容、テキスト、画像等の無断転載、複製、複写、盗用を固く禁じます。








