症例詳細
Case detail
奥歯をセラミックに 銀歯の中の虫歯治療
治療症例の内容
- 診療科目
- 治療カテゴリ
- 担当医
- 藤巻太一朗(ドクタープロフィール)
- 患者様
- 30代男性
- 治療期間
- 1ヶ月
- 治療回数
- 2-5回
- 治療計画
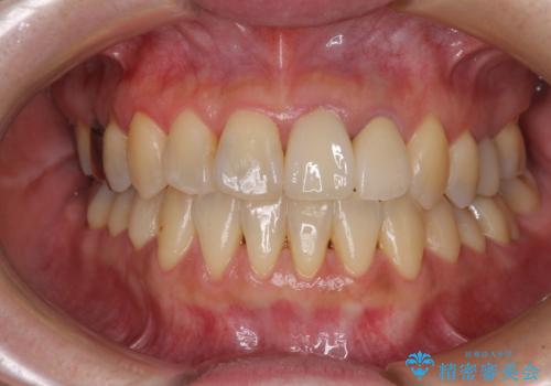
- むし歯の痛み、大きな黒い変色、銀歯を気にして来院された患者様です。
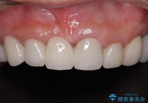
むし歯を除去した後に、フルジルコニアクラウンにて補綴することとしました。
- 費用(概算)
- 治療費の目安: 25万円費用は治療当時の料金となります
治療について
黒く見える部分は陳旧性のむし歯であったり、充填された材料の変色であったり、処置を行う上でそれほど深刻なものではありませんでした。
奥から3番目の小臼歯はレントゲン写真からもむし歯の浸食が神経に近いことが分かり、痛みが強く出る可能性や神経を取り除く必要性も考えられました。
処置後には痛みが落ち着き、神経が正常に機能している反応も認められたため、クラウンによる補綴を行いました。
リスクについて
セラミックは破折などにより修復や再製作が必要となることがあります。
むし歯が神経に近い歯は、神経が失活する可能性があります。
セラミック治療の注意事項(リスク・副作用など)
- 天然歯を削ります
- 硬い素材は天然歯を傷つけてしまう場合があります
- かみ合わせや歯ぎしりが強すぎる方はセラミックが割れてしまう可能性があります
- 自費診療(保険適用外治療)となります
当サイトの内容、テキスト、画像等の無断転載、複製、複写、盗用を固く禁じます。








