症例詳細
Case detail
生まれつき歯が黒い テトラサイクリン歯 40代女性
治療症例の内容
- 診療科目
- 担当医
- 患者様
- 40代女性
- 治療期間
- 5ヶ月
- 治療回数
- 2-5回
- 治療計画
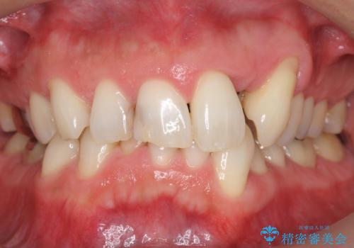
- 生まれつき歯が黒いことを主訴に来院された患者様です。
小児期の抗生物質長期投与による歯質の変色(テトラサイクリン歯)だと推測されます。
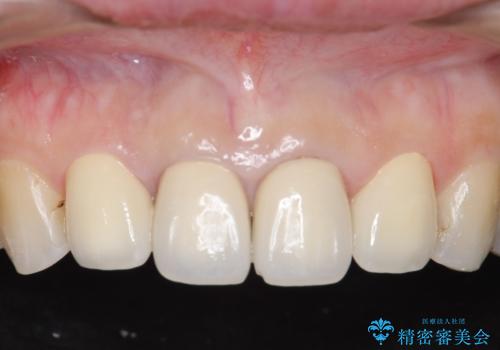
患者様のご希望により、セラミッククラウンによる補綴治療を行いました。
矯正治療を併用した補綴治療を提案しましたが、ご予算と短期間での治療のご希望から補綴治療のみ行うこととなりました。
もともとの歯並びにより、歯茎のラインやクラウンの形態に限界があることをご理解頂いた上で治療を行いました。
右上765左下7のインプラント上部構造は手をつけず、それ以外の歯において補綴治療を行いました。
- 費用(概算)
- ¥2,620,000 (仮歯、土台、被せ物)費用は治療当時の料金となります
治療について
もともとの歯並びにより歯茎のラインやクラウンの形態に限界がありましたが、主訴である歯の色が改善され喜んで頂けました。
「小さい頃、好きな男の子に『どうして歯が黒いの?』と言われたことを今でも覚えています」とおっしゃっていた患者様。
長年のコンプレックスが解消され、治療終了後には晴れやかな笑顔を見せて下さいました。
被せ物の種類:ジルコニアオールセラミッククラウン スタンダード
天然歯を削るリスクについて
セラミッククラウンによる被せ物の治療を行う場合、歯をひとまわり小さく削る必要があります。
天然歯の削合は不可逆的な処置であり、知覚過敏や抜髄(神経をとる)の必要性が生じる可能性があります。
そのリスクをご理解頂いた上で治療を行っております。
セラミック治療の注意事項(リスク・副作用など)
- 天然歯を削ります
- 硬い素材は天然歯を傷つけてしまう場合があります
- かみ合わせや歯ぎしりが強すぎる方はセラミックが割れてしまう可能性があります
- 自費診療(保険適用外治療)となります
当サイトの内容、テキスト、画像等の無断転載、複製、複写、盗用を固く禁じます。


















