症例詳細
Case detail
前歯をきれいに 20代女性
治療症例の内容
- 診療科目
- 担当医
- 井上季実子(ドクタープロフィール)
- 患者様
- 20代女性
- 矯正装置
- 審美装置
- 治療期間
- 2年1ヶ月
- 治療回数
- 10-30回
- 治療計画
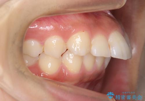
- 前歯のがたがたを主訴に来院。
 
 虫歯が多く、矯正治療前に虫歯の治療を行いました。
- 費用(概算)
- 90万円費用は治療当時の料金となります
治療後の感想
歯並びがきれいになって、嬉しいです。被せ物の相談にも乗っていただけて助かりました。
明るい雰囲気で、月1度の通院が楽しかったです。予想の期間を聞いた時は、少し長いかな?と悩みましたが思ったよりもずっと短く感じ、矯正して良かったと思いました。ありがとうございました。
ワイヤー矯正の注意事項(リスク・副作用など)
- 治療中は違和感や痛みが起こることがあります
- 症状により、抜歯が必要な場合があります
- 治療中は歯磨きがしにくくなるため、虫歯や歯周病になりやすくなります
- 矯正治療後の保定が不十分だと後戻り(元の位置に戻ろうとする動き)をします
- 自費診療(保険適用外)となります
当サイトの内容、テキスト、画像等の無断転載、複製、複写、盗用を固く禁じます。








 
                       
                                                          





















 
                   
                   
                  