症例詳細
Case detail
骨量の少ない上顎大臼歯 骨補填材を用いない短期間インプラント治療
治療症例の内容
- 担当医
- 藤巻太一朗(ドクタープロフィール)
- 患者様
- 70代女性
- 治療期間
- 5ヶ月
- 治療回数
- 5-10回
- 治療計画
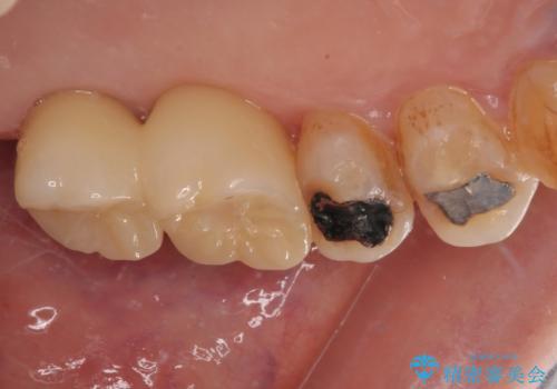
- 近医にて入れ歯が合わないためインプラント治療を希望したものの、治療期間が長く大変と聞き、当院を受診された患者様です。
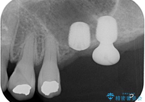
レントゲンから分かるとおり、インプラント埋入に必要な骨の高さが著しく不足している状態でした。
数年前まで当院でも行われていた従来の手法では、骨補填材による上顎洞底の挙上を行い、インプラント埋入に半年以上の期間を必要とするものでした。
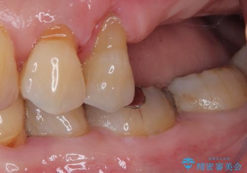
しかしながら、ここ数年で流通してきたデンサーバーというドリルと、エキストラワイドショートインプラントの併用により、骨補填材による上顎洞底の挙上なしに埋入が行えるようになりました。
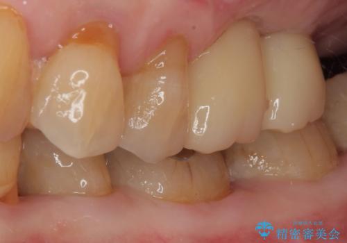
元々の骨量が少なく、通常よりは待機期間が長くなりますが、数ヶ月程度で補綴治療まで行うことができるため、こちらの手法でインプラント補綴治療を行うこととしました。
- 費用(概算)
- 90万円(税込)費用は治療当時の料金となります
治療について
インプラントが待機期間に脱落することがありますが、一切のトラブルなく、最短期間で無事に治療を終えることができました。
インプラント治療の注意事項(リスク・副作用など)
- 外科手術のため、術後に痛みや腫れ、違和感を伴います
- メンテナンスを怠ったり喫煙により、お口の中に大きな悪影響を及ぼすインプラント周囲炎等にかかる可能性があります
- 糖尿病、肝硬変、心臓病等の場合、インプラント治療ができない可能性があります
- 高血圧、貧血・不整脈等の場合、インプラント治療後に治癒不全を招く可能性があります
- 自費診療(保険適用外治療)となります
セラミック治療の注意事項(リスク・副作用など)
- 天然歯を削ります
- 硬い素材は天然歯を傷つけてしまう場合があります
- かみ合わせや歯ぎしりが強すぎる方はセラミックが割れてしまう可能性があります
- 自費診療(保険適用外治療)となります
当サイトの内容、テキスト、画像等の無断転載、複製、複写、盗用を固く禁じます。
















