症例詳細
Case detail
【海外から通院】統一感のない前歯をきれいに オールセラミッククラウン治療
治療症例の内容
- 診療科目
- 治療カテゴリ
- 担当医
- 藤巻太一朗(ドクタープロフィール)
- 患者様
- 50代女性
- 治療期間
- 1年2ヶ月
- 治療回数
- 5-10回
- 治療計画
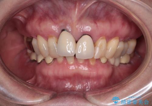
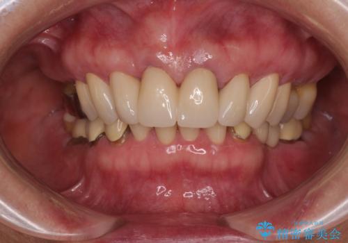
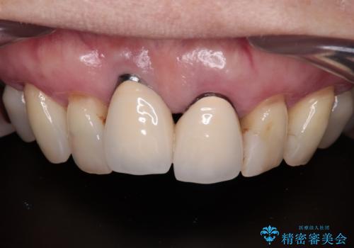
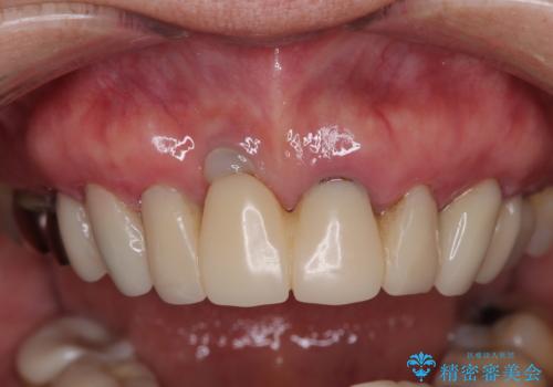
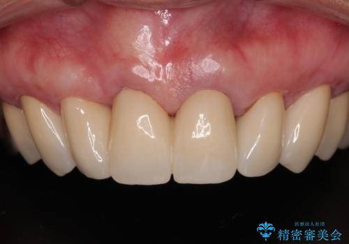
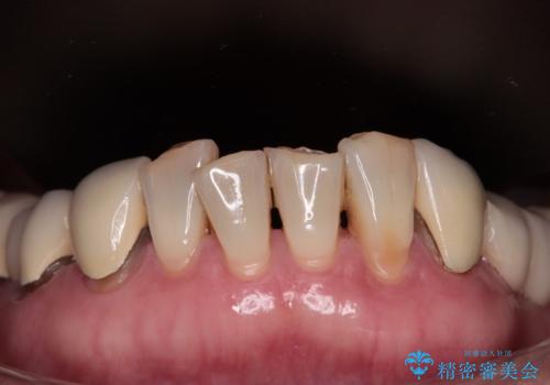
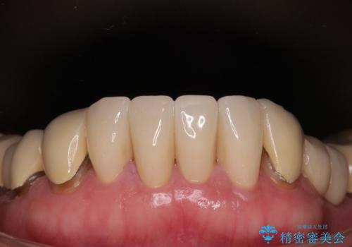
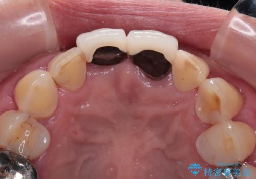
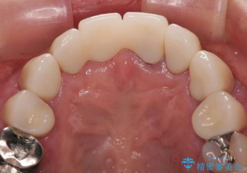
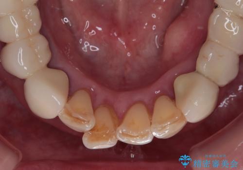
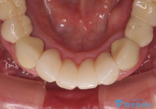
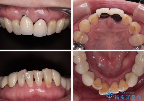
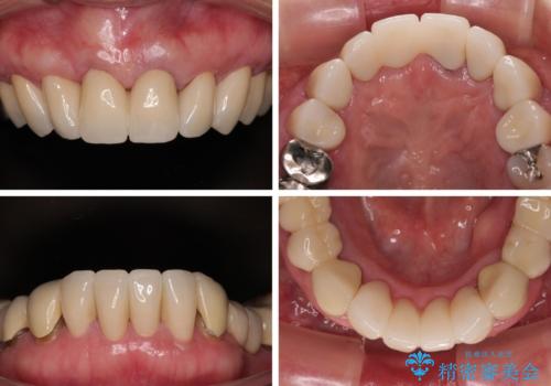
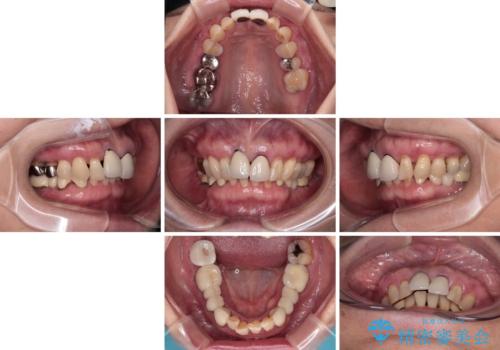
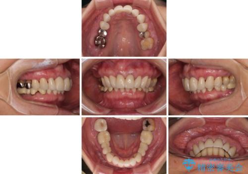
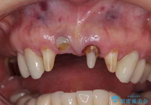
- 歯肉ラインの段差や、歯根が黒く見えている前歯を気にして来院された患者様です。
海外に在住で、年に2度ほど帰国するタイミングで治療を行いたいとのことでした。
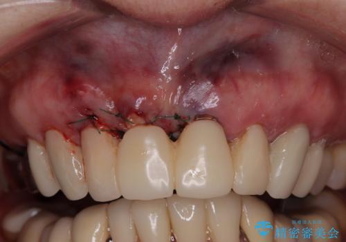
前歯のインプラントは埋入されたポジションが望ましい位置ではなく、インプラントを活用して段差を回収することは不可能と判断し、歯肉移植によりインプラントを隠して、ブリッジにて歯肉ラインを整えることとしました。
臼歯部の治療も必要と判断されましたが、前歯部を中心とした審美領域をオールセラミッククラウンによる補綴治療を行うこととしました。
- 費用(概算)
- 185万円(税込)費用は治療当時の料金となります
治療について
帰国時のみの治療であったため、治療期間は長くなりましたが、最小限の来院回数で、気になっていた前歯をきれいに整えることができました。
セラミック治療の注意事項(リスク・副作用など)
- 天然歯を削ります
- 硬い素材は天然歯を傷つけてしまう場合があります
- かみ合わせや歯ぎしりが強すぎる方はセラミックが割れてしまう可能性があります
- 自費診療(保険適用外治療)となります
外科処置の注意事項(リスク・副作用など)
- 外科手術のため、術後に出血、痛みや腫れ、違和感を伴います
- 口腔内の状態によっては適応できないことがあります
当サイトの内容、テキスト、画像等の無断転載、複製、複写、盗用を固く禁じます。






















