症例詳細
Case detail
他院で抜歯をしたのでインプラントを入れたい インプラント治療
治療症例の内容
- 患者様
- 50代女性
- 治療期間
- 3ヶ月
- 治療回数
- 5-10回
- 治療計画
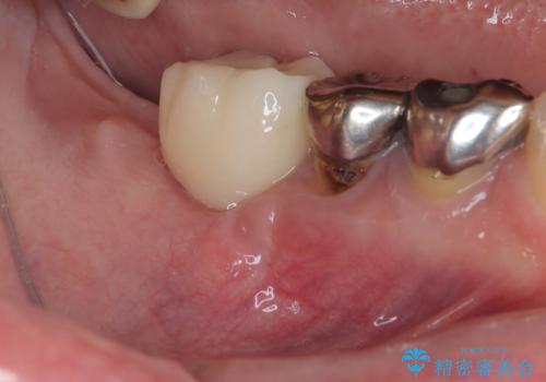
- 「歯を抜いたので、インプラントを入れてほしい」という主訴で来院された患者様です。
他院で歯根破折により抜歯をしたとのことでした。
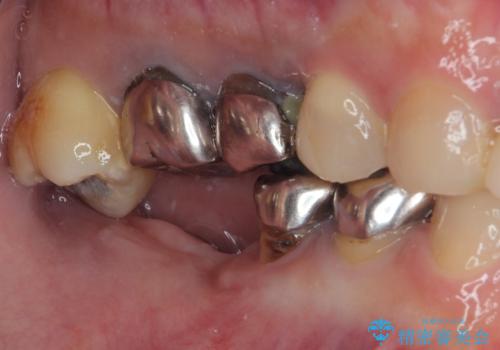
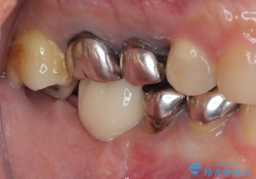
CTにより残存骨量を確認しインプラント埋入を行っていくこととしました。
今後手前の根管治療を行っている歯が歯根破折を起こして抜歯になる可能性を想定して手前の歯に平行にインプラント埋入を行っています。
- 費用(概算)
- 50万円(税込み)費用は治療当時の料金となります
インプラント早期荷重について
インプラント早期荷重とは、通常よりも短い期間で人工の歯を装着し、早い段階で噛めるようにする治療方法です。
従来は数か月間待つ必要がありましたが、骨の状態や全身状態が良好な場合には、条件を満たせば早期に仮歯や最終の歯を入れることが可能です。
これにより
・治療期間の短縮
・見た目の回復が早い
・食事や会話の不便さを早く改善できる
といったメリットがあります。
ただし、すべての方に適応できるわけではありません。
精密な検査と診断のもと、安全性を最優先にご提案いたします。
インプラント治療の注意事項(リスク・副作用など)
- 外科手術のため、術後に痛みや腫れ、違和感を伴います
- メンテナンスを怠ったり喫煙により、お口の中に大きな悪影響を及ぼすインプラント周囲炎等にかかる可能性があります
- 糖尿病、肝硬変、心臓病等の場合、インプラント治療ができない可能性があります
- 高血圧、貧血・不整脈等の場合、インプラント治療後に治癒不全を招く可能性があります
- 自費診療(保険適用外治療)となります
セラミック治療の注意事項(リスク・副作用など)
- 天然歯を削ります
- 硬い素材は天然歯を傷つけてしまう場合があります
- かみ合わせや歯ぎしりが強すぎる方はセラミックが割れてしまう可能性があります
- 自費診療(保険適用外治療)となります
その他の注意事項(リスク・副作用など)
- 担当歯科医師、歯科衛生士又は医院スタッフから受けた説明・注意事項をよくご確認ください
- 医療を提供するに当たり、適切な説明を行い、患者様の十分な理解を得るよう努めております
当サイトの内容、テキスト、画像等の無断転載、複製、複写、盗用を固く禁じます。














