症例詳細
Case detail
外れやすい前歯のブリッジ しっかりとした治療を受けたい
治療症例の内容
- 診療科目
- 治療カテゴリ
- 担当医
- 大元洋佑(ドクタープロフィール)
- 患者様
- 40代女性
- 治療期間
- 6ヶ月
- 治療回数
- 5-10回
- 治療計画
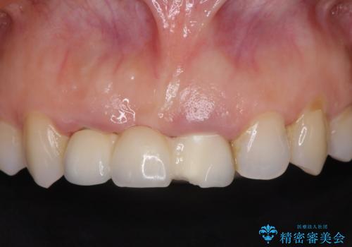
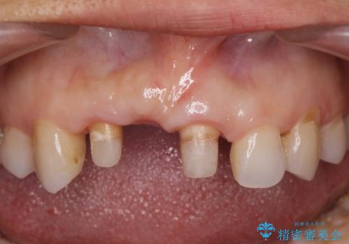
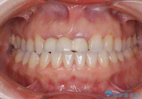
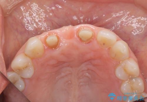
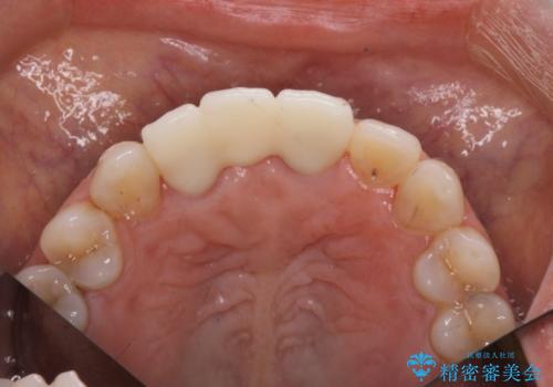
- 前歯のブリッジがすぐに外れる、歯ぐきが腫れている、見た目を良くしたい、と希望され来院されました。
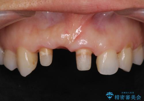
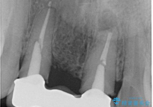
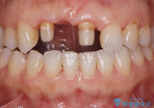
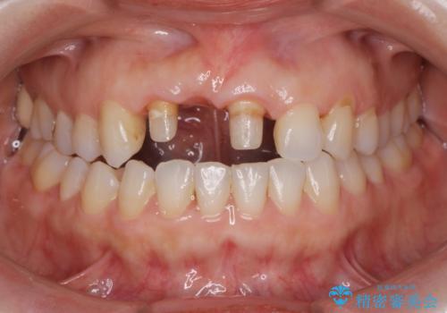
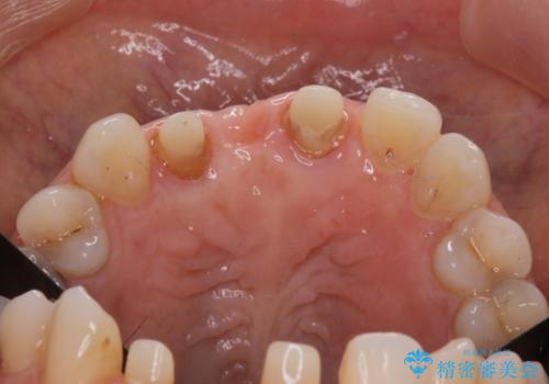
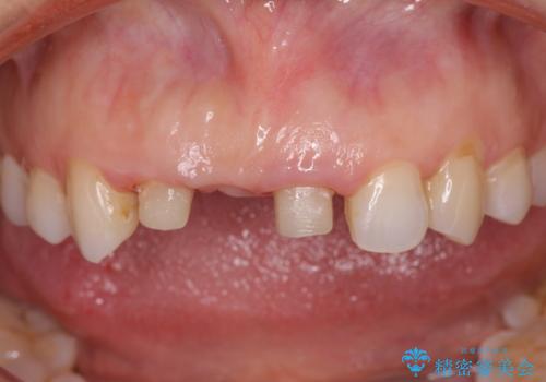
現在装着されているブリッジを除去したところ、歯ぐきよりも上に存在する歯質(縁上歯質)が少なく、土台の形態の悪さや不適合などさまざまな問題があります。
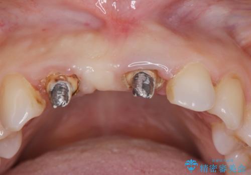
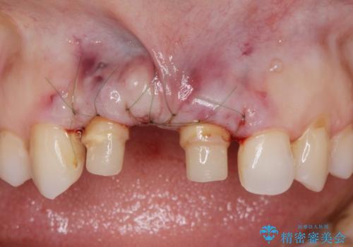
根管治療を行ったのち、歯周外科を行うことで、欠損部の歯ぐきの厚みを出し、縁上歯質を獲得することで、長期的な予後の見込めるブリッジを製作できる環境を整備していきます。
- 費用(概算)
- 50.6万円(ジルコニアクラウン×3・仮歯×3・歯周外科)費用は治療当時の料金となります
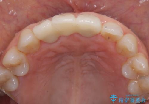
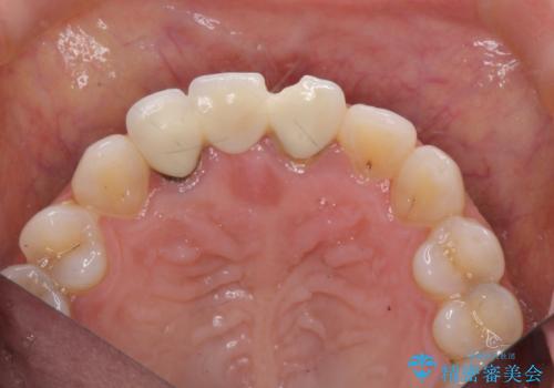
治療について
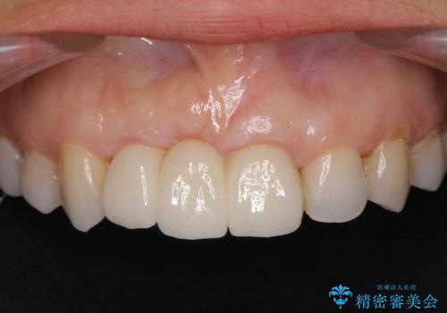
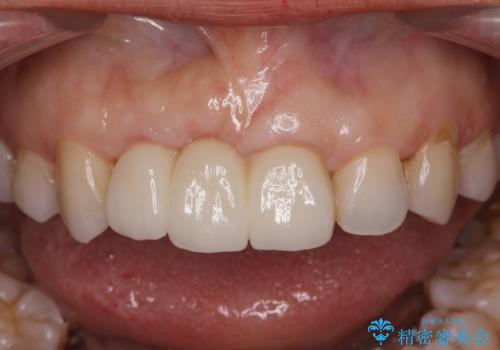
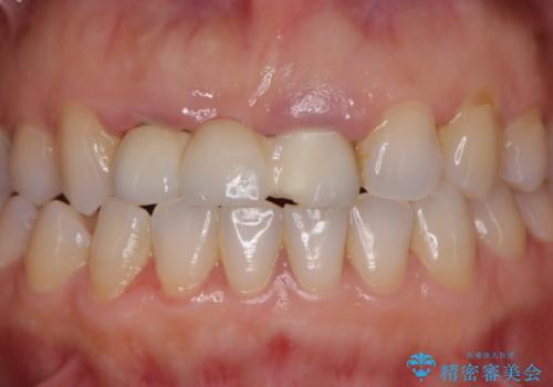
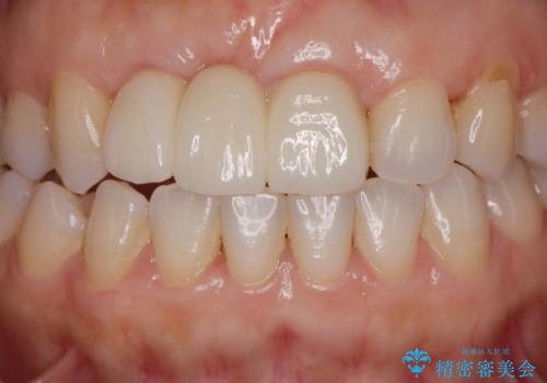
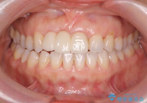
歯周外科をおこなったことで歯ぐきのラインを整え、脱離しないような前歯のブリッジを作製することができました。
外科処置の注意事項(リスク・副作用など)
- 外科手術のため、術後に出血、痛みや腫れ、違和感を伴います
- 口腔内の状態によっては適応できないことがあります
セラミック治療の注意事項(リスク・副作用など)
- 天然歯を削ります
- 硬い素材は天然歯を傷つけてしまう場合があります
- かみ合わせや歯ぎしりが強すぎる方はセラミックが割れてしまう可能性があります
- 自費診療(保険適用外治療)となります
当サイトの内容、テキスト、画像等の無断転載、複製、複写、盗用を固く禁じます。







































