症例詳細
Case detail
早く・確実に歯並び改善|目立ちにくいワイヤー矯正
治療症例の内容
- 担当医
- 齋藤佑磨(ドクタープロフィール)
- 患者様
- 20代女性
- 矯正装置
- 審美装置
- 治療期間
- 1年6ヶ月
- 治療回数
- 10-30回
- 治療計画
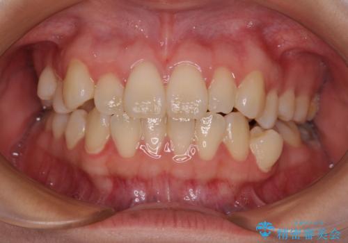
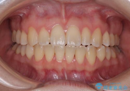
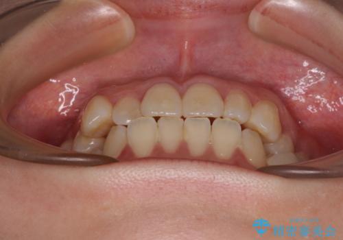
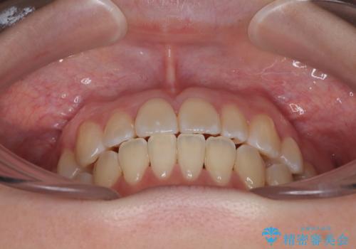
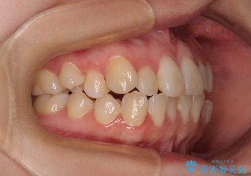
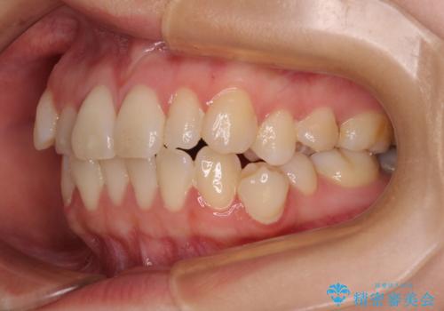
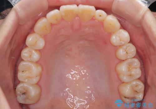
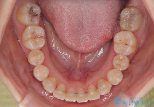
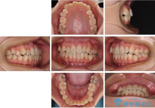
- 患者様は「歯並び全体のデコボコが気になり、人前で笑うことに抵抗がある」とのことでご来院されました。
診査の結果、上下顎ともに叢生が認められましたが、ワイヤー矯正・マウスピース矯正のいずれでも対応可能な症例でした。
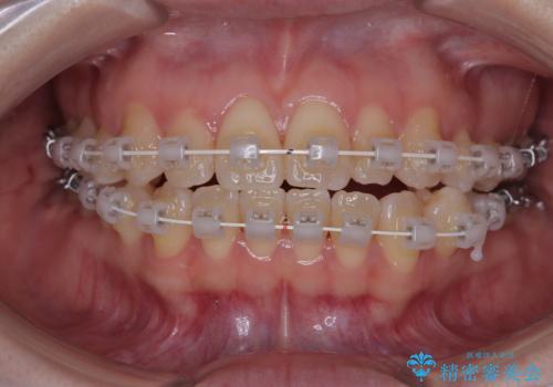
治療方法についてご説明したところ、
できるだけ早く歯並びを整えたい
マウスピース矯正は装着時間や自己管理に不安がある
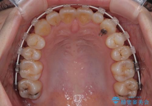
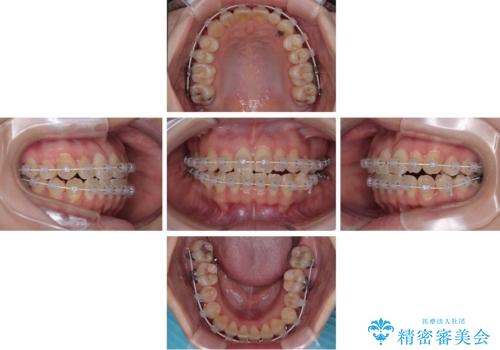
という患者様のご希望を踏まえ、プラスチックブラケット+コーティングワイヤーを用いたワイヤー矯正を選択しました。
この方法は、
金属色が目立ちにくく審美性が高い
確実に歯を動かせるため治療計画が立てやすい
といったメリットがあります。
- 費用(概算)
- 94万円(税込)費用は治療当時の料金となります
治療について
歯列矯正にはさまざまな治療方法があり、ライフスタイルや性格、ご希望によって最適な選択肢は異なります。
「マウスピース矯正が合うのか分からない」「できるだけ早く治したい」などのお悩みがある方も、まずはお気軽にご相談ください。
一人ひとりに合った治療計画をご提案いたします。
ワイヤー矯正の注意事項(リスク・副作用など)
- 治療中は違和感や痛みが起こることがあります
- 症状により、抜歯が必要な場合があります
- 治療中は歯磨きがしにくくなるため、虫歯や歯周病になりやすくなります
- 矯正治療後の保定が不十分だと後戻り(元の位置に戻ろうとする動き)をします
- 自費診療(保険適用外)となります
当サイトの内容、テキスト、画像等の無断転載、複製、複写、盗用を固く禁じます。


























