症例詳細
Case detail
目立つ銀歯をオールセラミッククラウンで自然に|20代女性の審美補綴症例
治療症例の内容
- 診療科目
- 治療カテゴリ
- 担当医
- 齋藤佑磨(ドクタープロフィール)
- 患者様
- 20代女性
- 治療期間
- 1ヶ月
- 治療回数
- 2-5回
- 治療計画
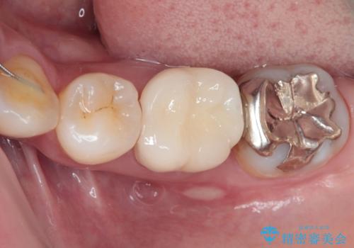
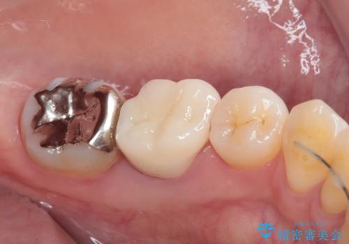
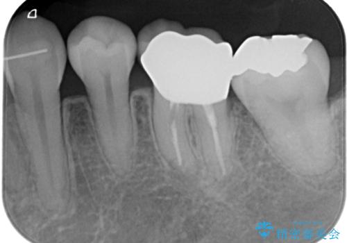
- 矯正治療が終了し、歯並びが整ったことで左下の銀歯が目立つことを気にされてご来院されました。
「せっかく矯正できれいになったので、銀歯も自然な白い歯にしたい」というご希望でした。
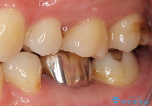
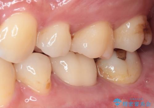
患者様は根管治療のやり替えは希望されなかったため、ファイバーコア+オールセラミッククラウンによる補綴治療を行いました。
- 費用(概算)
- 16万円(税込)費用は治療当時の料金となります
治療について
精度の高い補綴治療は、
・歯と被せ物のすき間が少ない
・汚れが溜まりにくい
という特徴があり、二次う蝕(被せ物の中で再発する虫歯)のリスクを低減できます。
見た目だけでなく、将来の歯の健康を守ることも大切にした治療を行っています。
セラミック治療の注意事項(リスク・副作用など)
- 天然歯を削ります
- 硬い素材は天然歯を傷つけてしまう場合があります
- かみ合わせや歯ぎしりが強すぎる方はセラミックが割れてしまう可能性があります
- 自費診療(保険適用外治療)となります
当サイトの内容、テキスト、画像等の無断転載、複製、複写、盗用を固く禁じます。








