症例詳細
Case detail
前歯のデコボコを抜歯矯正で改善した症例|目立ちにくい審美装置を使用
治療症例の内容
- 担当医
- 齋藤佑磨(ドクタープロフィール)
- 患者様
- 20代男性
- 矯正装置
- 審美装置
- 治療期間
- 2年6ヶ月
- 治療回数
- 30回以上
- 治療計画
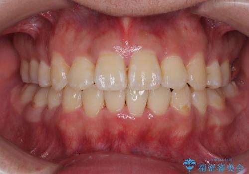
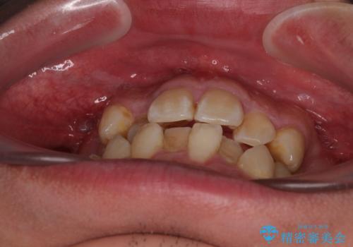
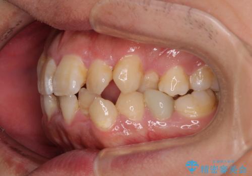
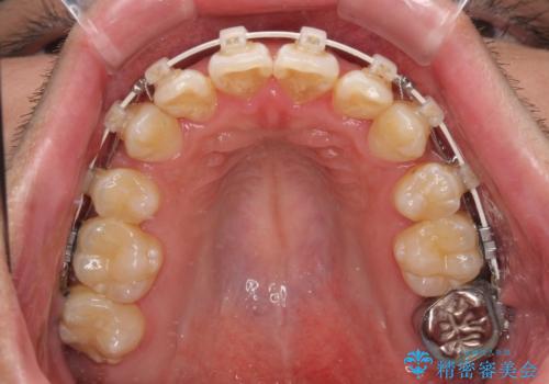
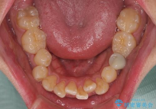
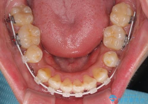
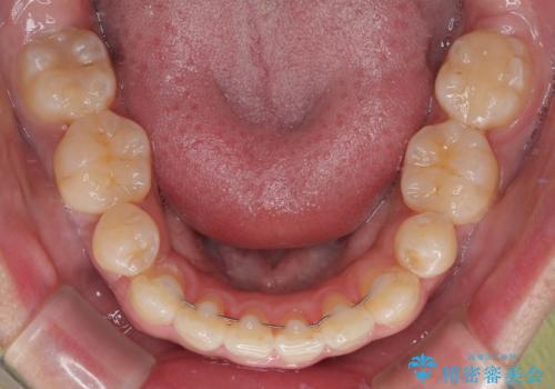
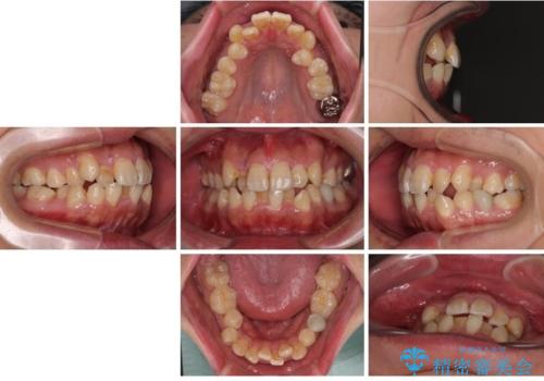
- 「歯並び全体のデコボコをきれいに整えたい」とのご希望で、20代男性の患者様が来院されました。
特に前歯部の叢生(歯の重なり)が強く、見た目だけでなく歯磨きのしにくさも気にされていました。
診査の結果、上下前歯に強い叢生が認められ、歯をきれいに並べるためのスペースが明らかに不足していました。
無理に歯を並べると、前歯が前方に突出するため、抜歯によるスペース確保が必要と判断しました。
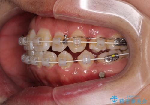
上下左右の小臼歯を抜歯し、歯列を整えるためのスペースを確保
左下は第二小臼歯に根管治療歴があったため、左下のみ第二小臼歯を抜歯しアンカースクリューを併用
それ以外の部位は第一小臼歯を抜歯
矯正中の見た目を気にされていたため、プラスチックブラケット+コーティングワイヤーを使用した、目立ちにくい審美矯正装置を選択しました。
- 費用(概算)
- 105万円(税込)費用は治療当時の料金となります
治療について
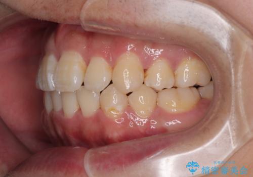
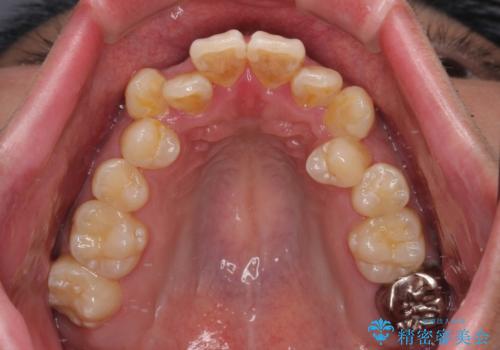
矯正治療では、見た目だけでなく清掃性が向上し、将来的なむし歯や歯周病リスクを下げることが可能です。
ワイヤー矯正の注意事項(リスク・副作用など)
- 治療中は違和感や痛みが起こることがあります
- 症状により、抜歯が必要な場合があります
- 治療中は歯磨きがしにくくなるため、虫歯や歯周病になりやすくなります
- 矯正治療後の保定が不十分だと後戻り(元の位置に戻ろうとする動き)をします
- 自費診療(保険適用外)となります
当サイトの内容、テキスト、画像等の無断転載、複製、複写、盗用を固く禁じます。

























