症例詳細
Case detail
「やり替えるなら良いものを」精度重視の補綴治療を選択された症例
治療症例の内容
- 診療科目
- 担当医
- 齋藤佑磨(ドクタープロフィール)
- 患者様
- 50代男性
- 治療期間
- 1ヶ月
- 治療回数
- 2-5回
- 治療計画
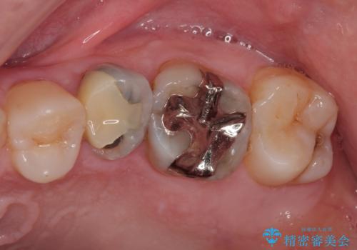
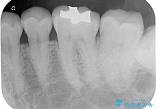
- 左上の小臼歯の詰め物が欠けたことを主訴に、50代男性の患者様が来院されました。
「最近、食事の際に違和感がある」「詰め物が欠けている気がする」とのことでした。
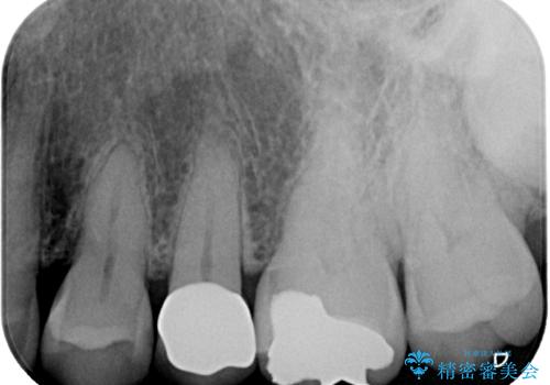
精密検査を行ったところ、上顎左側第二小臼歯のインレー(詰め物)が欠け、その内部に虫歯が進行している状態でした。幸いにも虫歯は神経まで達しておらず、神経を残した治療が可能と判断しました。
治療内容
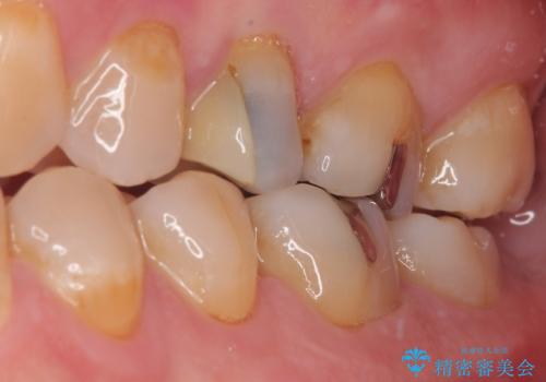
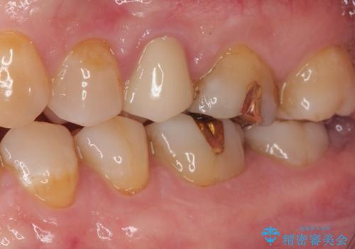
まず、虫歯を丁寧に除去。
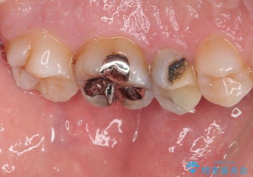
欠損範囲が大きかったため、オールセラミッククラウンによる補綴治療を行いました。
「他の歯も、せっかくなら精度の良いものに替えておきたい」とのご希望があり、
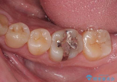
上顎左側第一大臼歯
下顎左側第一大臼歯
に入っていた保険診療の銀歯(メタルインレー)を、精度の良いゴールドインレーへやり替えを行いました。
- 費用(概算)
- 35万円(税込)費用は治療当時の料金となります
治療について
詰め物や被せ物は、精度が低いと隙間から虫歯(=二次う蝕)になりやすいという問題があります。
精度の高い補綴物を選ぶことで、将来的な治療回数を減らし、歯を長く守ることが可能です。
セラミック治療の注意事項(リスク・副作用など)
- 天然歯を削ります
- 硬い素材は天然歯を傷つけてしまう場合があります
- かみ合わせや歯ぎしりが強すぎる方はセラミックが割れてしまう可能性があります
- 自費診療(保険適用外治療)となります
PGA(ゴールド)クラウン、インレーの注意事項(リスク・副作用など)
- インレーおよびクラウンは脱離するリスクがあります
- 形成量はセラミックより少ないですが、歯の形成、修復後に歯に症状が出ることがあります
- 自費診療(保険適用外治療)となります
当サイトの内容、テキスト、画像等の無断転載、複製、複写、盗用を固く禁じます。














