症例詳細
Case detail
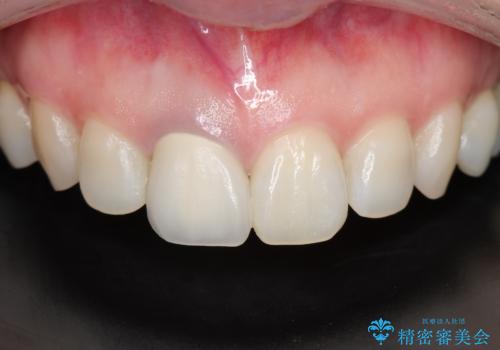
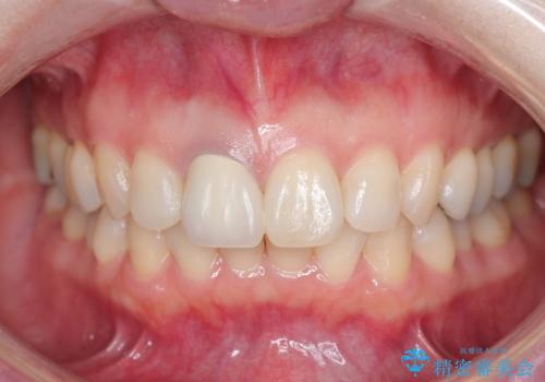
前歯の色が気になる。
治療症例の内容
- 診療科目
- 担当医
- 青山卓弘(ドクタープロフィール)
- 患者様
- 40代女性
- 治療期間
- 2ヶ月
- 治療回数
- 2-5回
- 治療計画
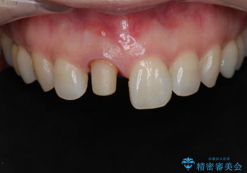
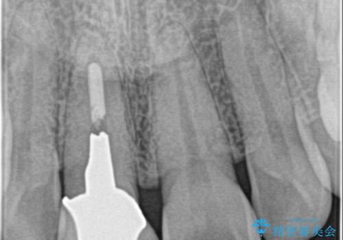
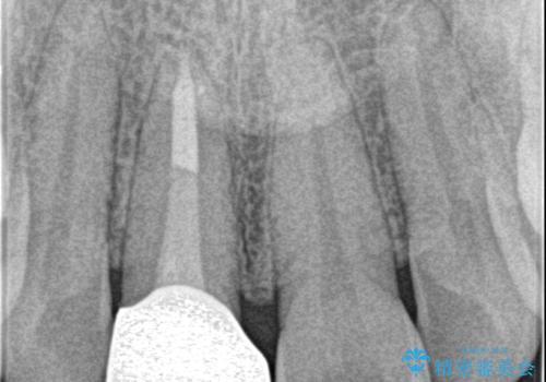
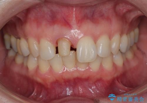
- 前歯が気になるとの事で来院。保険の被せ物(プラスチック素材)メタルの土台が入っていたので
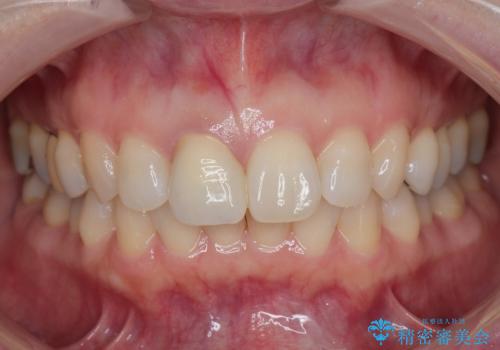
拡大鏡下で全て除去し精密根管治療を行いセラミックの被せ物を装着しました。
- 費用(概算)
- ジルコニアクラウンスペシャル・仮歯 16.5万円 精密根管治療(リトリートメント)・ファイバーコア 12.1万円費用は治療当時の料金となります
治療について
問題なく綺麗な被せ物が入りました。
保険の被せ物は安価ですが劣化しやすいため着色しやすい素材です。
セラミックの素材は劣化することなくまた虫歯の再発のリスクも下げてくれます。
セラミック治療の注意事項(リスク・副作用など)
- 天然歯を削ります
- 硬い素材は天然歯を傷つけてしまう場合があります
- かみ合わせや歯ぎしりが強すぎる方はセラミックが割れてしまう可能性があります
- 自費診療(保険適用外治療)となります
根管治療の注意事項(リスク・副作用など)
- 根管治療により類似の全ての症例の問題が解決するわけではなく、症例はあくまでも一例です
- 根管治療により痛みや腫れがひかない事や、術後に痛みや腫れが生じる事、治療によるファイル破折やパーフォレーションなどの偶発症、術後の歯根破折を生じる可能性もあります
- 自費診療(保険適用外)となります
その他の注意事項(リスク・副作用など)
- 担当歯科医師、歯科衛生士又は医院スタッフから受けた説明・注意事項をよくご確認ください
- 医療を提供するに当たり、適切な説明を行い、患者様の十分な理解を得るよう努めております
当サイトの内容、テキスト、画像等の無断転載、複製、複写、盗用を固く禁じます。









