症例詳細
Case detail
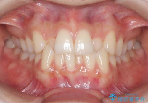
1年でここまで変わる。デコボコ歯並びの非抜歯矯正!
治療症例の内容
- 担当医
- 河野豊嘉(ドクタープロフィール)
- 患者様
- 20代女性
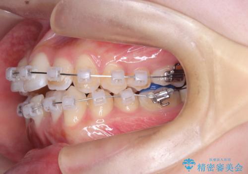
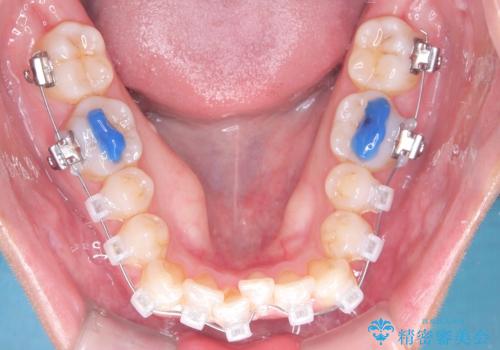
- 矯正装置
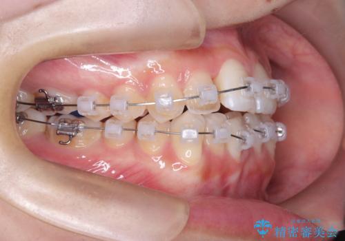
- クリア装置 ワイヤー
- 治療期間
- 1年
- 治療回数
- 10-30回
- 治療計画
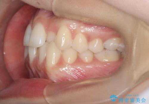
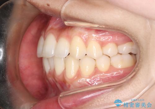
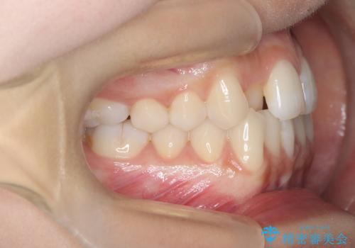
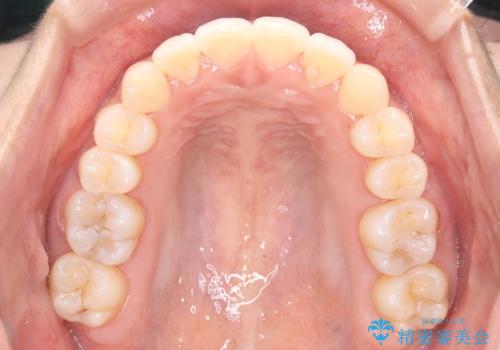
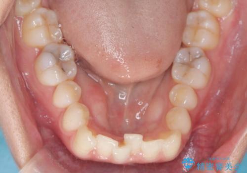
- 歯のデコボコ(叢生)を主訴にご来院された患者様です。
精密矯正検査を行った結果、歯を抜かずに行う、非抜歯のワイヤー矯正で治療を行う方針となりました。
歯並びの乱れに加え、**反対咬合(上下のかみ合わせのズレ)**も認められたため、見た目だけでなく、かみ合わせの改善も同時に行っています。
- 費用(概算)
- 税込770,000円(通院費込み)費用は治療当時の料金となります
治療について
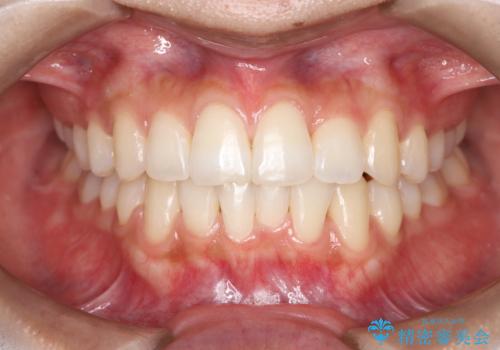
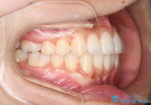
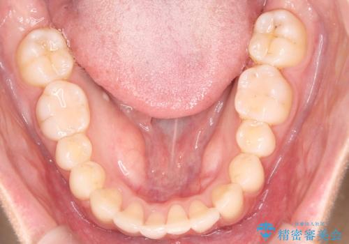
治療計画をしっかり立て、歯の移動量や力のコントロールを最適化することで、約1年という短期間で矯正治療を終了することができました。
「矯正は時間がかかる」というイメージをお持ちの方も多いですが、症例によっては、非抜歯でも短期間で改善が可能な場合があります。
治療後は歯並び・かみ合わせともに大きく改善し、患者様にも大変ご満足いただけました。
ワイヤー矯正の注意事項(リスク・副作用など)
- 治療中は違和感や痛みが起こることがあります
- 症状により、抜歯が必要な場合があります
- 治療中は歯磨きがしにくくなるため、虫歯や歯周病になりやすくなります
- 矯正治療後の保定が不十分だと後戻り(元の位置に戻ろうとする動き)をします
- 自費診療(保険適用外)となります
当サイトの内容、テキスト、画像等の無断転載、複製、複写、盗用を固く禁じます。























