症例詳細
Case detail
下顎の叢生を抜歯矯正で改善|費用を抑えたメタルブラケット矯正
治療症例の内容
- 担当医
- 齋藤佑磨(ドクタープロフィール)
- 患者様
- 20代男性
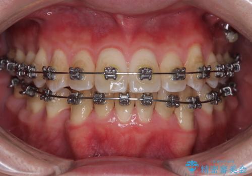
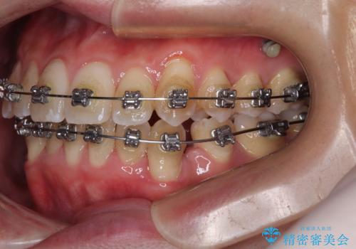
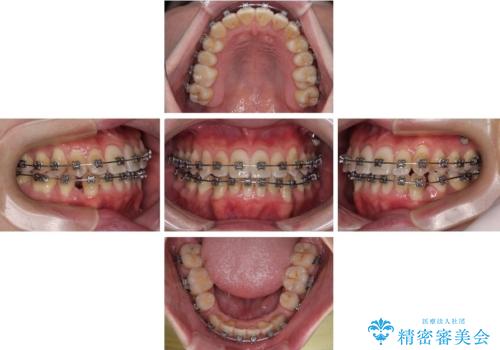
- 矯正装置
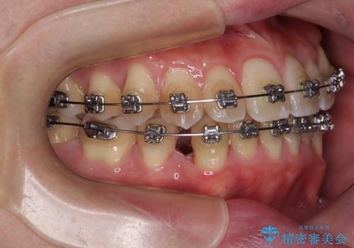
- メタルブラケット
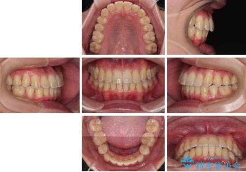
- 治療期間
- 1年6ヶ月
- 治療回数
- 10-30回
- 治療計画
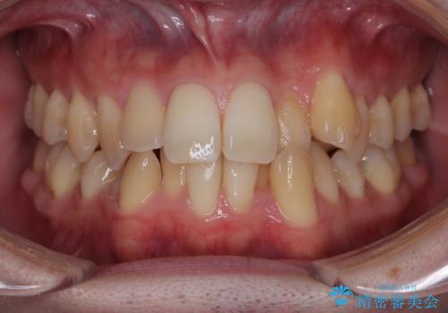
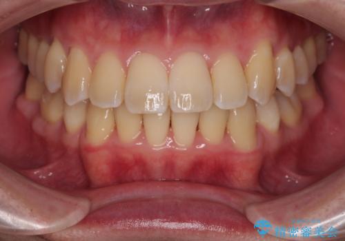
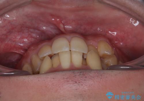
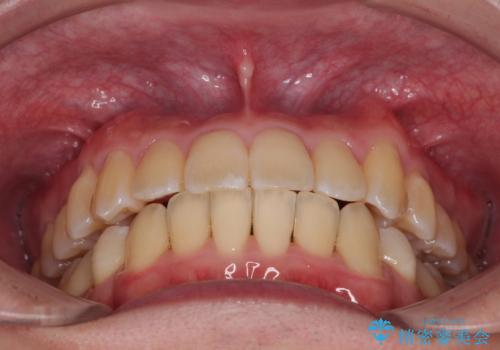
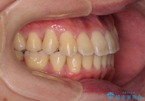
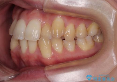
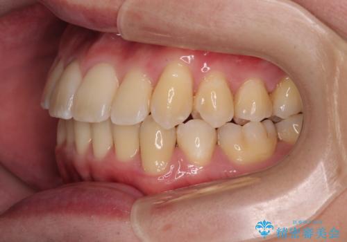
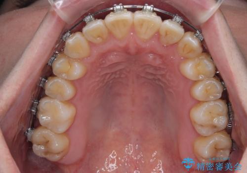
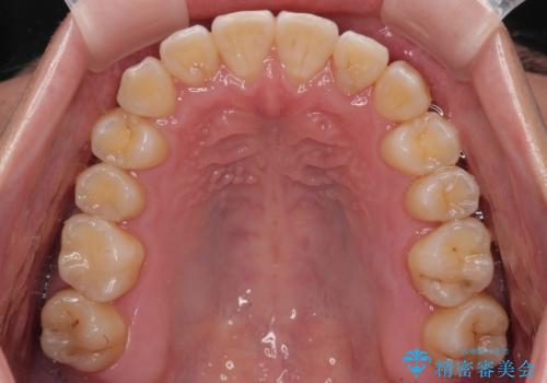
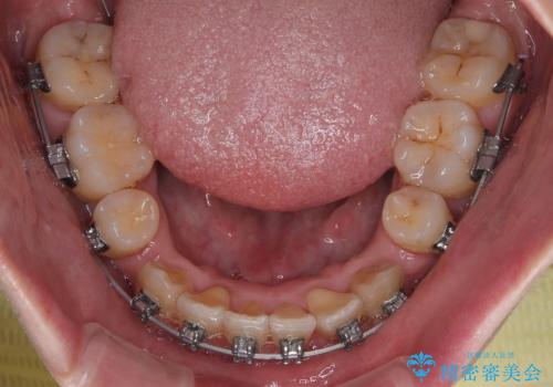
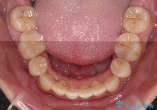
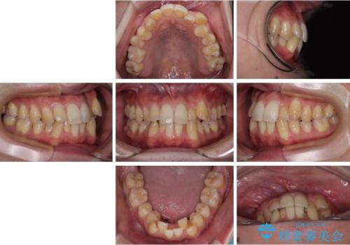
- 患者様は全体的な叢生(歯のデコボコ)を主訴に来院されました。
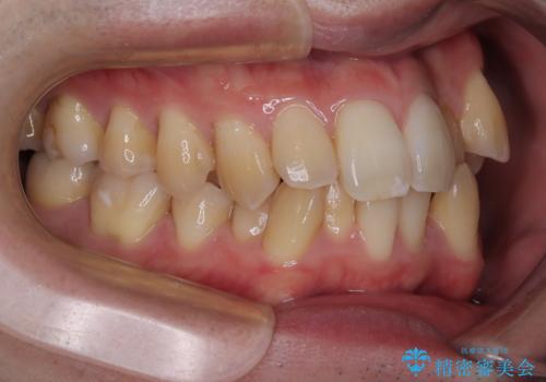
特に下顎は上顎と比べて叢生量が大きく、歯が並ぶためのスペースが不足している状態でした。
上顎は叢生量が比較的少ないため 非抜歯
下顎は歯列のスペースが不足しているため 左右の第一小臼歯を抜歯し、歯が並ぶスペースを確保
という治療計画を立てました。
装置は、治療効果と費用のバランスを考慮し、メタルブラケットを選択しました。
- 費用(概算)
- 83万円(税込)費用は治療当時の料金となります
治療について
患者様一人ひとりの歯列・骨格・ご希望・ご予算に合わせた治療計画が重要です。
「抜歯が必要か知りたい」
「費用を抑えて矯正したい」
「自分に合った矯正方法を相談したい」
そんな方は、ぜひ一度ご相談ください。
ワイヤー矯正の注意事項(リスク・副作用など)
- 治療中は違和感や痛みが起こることがあります
- 症状により、抜歯が必要な場合があります
- 治療中は歯磨きがしにくくなるため、虫歯や歯周病になりやすくなります
- 矯正治療後の保定が不十分だと後戻り(元の位置に戻ろうとする動き)をします
- 自費診療(保険適用外)となります
当サイトの内容、テキスト、画像等の無断転載、複製、複写、盗用を固く禁じます。


























