症例詳細
Case detail
デコボコも深いかみ合わせも…“全部気になる”を一気に解決
治療症例の内容
- 担当医
- 河野豊嘉(ドクタープロフィール)
- 患者様
- 20代男性
- 矯正装置
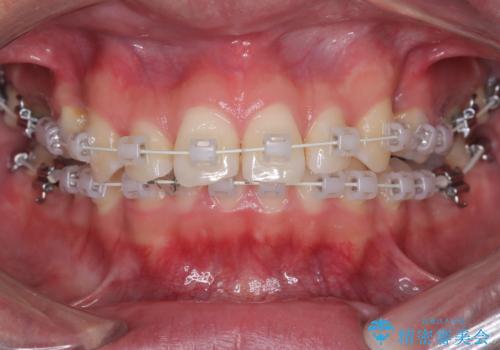
- ワイヤー(審美装置)
- 治療期間
- 3年2ヶ月
- 治療回数
- 30回以上
- 治療計画
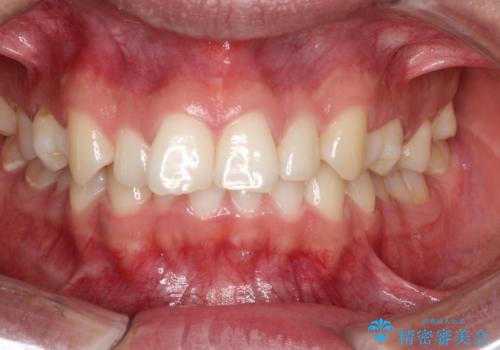
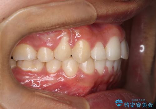
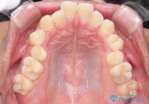
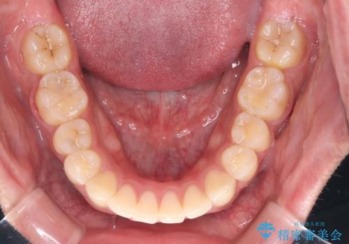
- 咬み合わせの不調和と歯並びのデコボコを主訴にご来院された患者様です。
精密矯正検査の結果、歯を抜かずに非抜歯でワイヤー矯正で治療を行う方針としました。
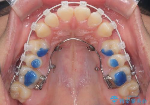
叢生(歯のデコボコ)の量が多く、加えてディープバイト(過蓋咬合)や重度の捻転も認められたため、リンガルアーチやマイクロインプラントなどの補助装置を併用し、治療を進めました。
- 費用(概算)
- 税込990,000円(通院費込み)費用は治療当時の料金となります
治療について
治療途中では咬み合わせの改善を目的としてバイトアップを行い、歯の捻転や叢生を改善しつつ、機能的に安定した咬合を獲得しています。
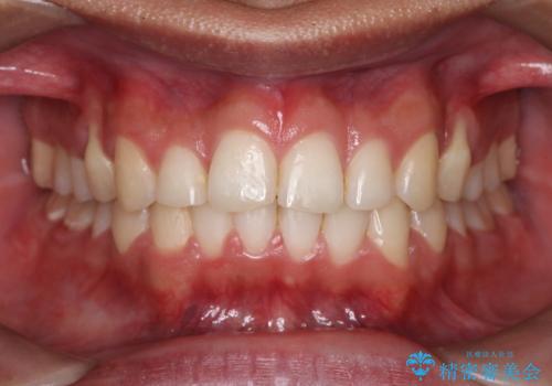
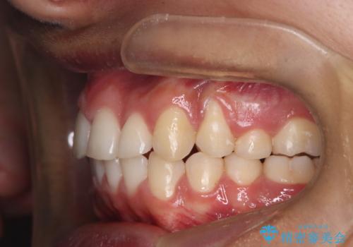
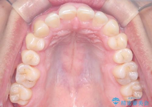
治療期間は3年2ヵ月と比較的長期となりましたが、見た目の歯並びだけでなく、咬み合わせまでしっかり整えた症例です。
上顎左右4番は90度捻転していたため、改善後歯根露出してしまっているためCTG(歯肉移植)を行う予定です。
ワイヤー矯正の注意事項(リスク・副作用など)
- 治療中は違和感や痛みが起こることがあります
- 症状により、抜歯が必要な場合があります
- 治療中は歯磨きがしにくくなるため、虫歯や歯周病になりやすくなります
- 矯正治療後の保定が不十分だと後戻り(元の位置に戻ろうとする動き)をします
- 自費診療(保険適用外)となります
当サイトの内容、テキスト、画像等の無断転載、複製、複写、盗用を固く禁じます。





















