症例詳細
Case detail
前歯のコンプレックスを解消|40代男性・オールセラミッククラウン症例
治療症例の内容
- 診療科目
- 担当医
- 齋藤佑磨(ドクタープロフィール)
- 患者様
- 40代男性
- 治療期間
- 3ヶ月
- 治療回数
- 5-10回
- 治療計画
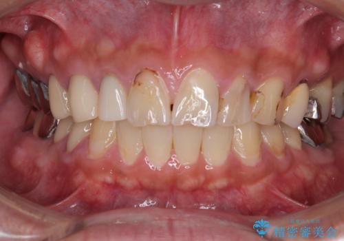
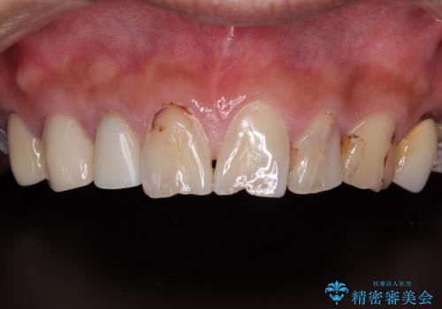
- 患者様は「前歯の見た目をきれいにしたい」というご希望で来院されました。
拝見すると、上顎前歯部にはCR充填(レジン修復)が繰り返し行われており、つぎはぎ状になっていました。そのため、
色調が不自然
形態にばらつきがある
笑ったときに治療跡が目立つ
といった審美的なお悩みが認められました。
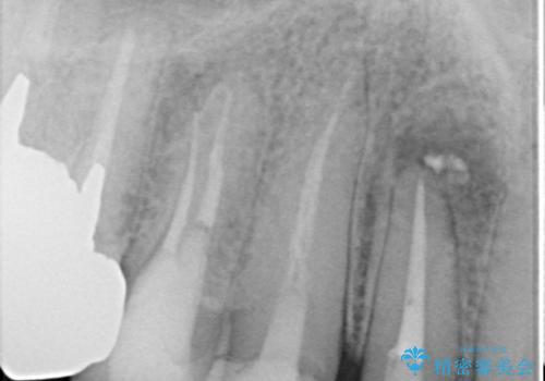
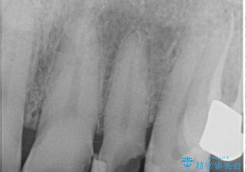
また、右上側切歯は根管治療が必要な状態でした。
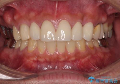
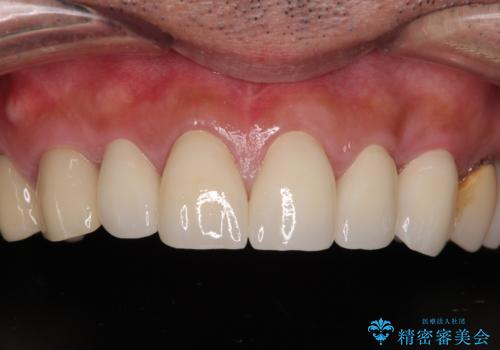
右上側切歯に対して根管治療を行い、その後右上側切歯から左上犬歯まで計5本をオールセラミッククラウンで補綴する治療計画をご提案しました。
- 費用(概算)
- 75万円(税込)費用は治療当時の料金となります
このような方におすすめです
前歯の詰め物や被せ物の見た目が気になる
過去の治療跡をきれいにやり直したい
自然で美しい前歯にしたい
オールセラミック治療を検討している
セラミック治療の注意事項(リスク・副作用など)
- 天然歯を削ります
- 硬い素材は天然歯を傷つけてしまう場合があります
- かみ合わせや歯ぎしりが強すぎる方はセラミックが割れてしまう可能性があります
- 自費診療(保険適用外治療)となります
根管治療の注意事項(リスク・副作用など)
- 根管治療により類似の全ての症例の問題が解決するわけではなく、症例はあくまでも一例です
- 根管治療により痛みや腫れがひかない事や、術後に痛みや腫れが生じる事、治療によるファイル破折やパーフォレーションなどの偶発症、術後の歯根破折を生じる可能性もあります
- 自費診療(保険適用外)となります
当サイトの内容、テキスト、画像等の無断転載、複製、複写、盗用を固く禁じます。












