症例詳細
Case detail
マウスピース矯正と迷った結果…管理のしやすさで選んだクリアブラケット矯正の症例
治療症例の内容
- 診療科目
- 治療カテゴリ
- 担当医
- 齋藤佑磨(ドクタープロフィール)
- 患者様
- 20代男性
- 矯正装置
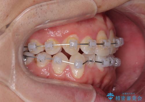
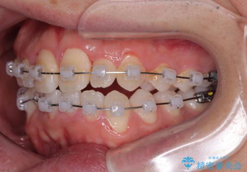
- クリアブラケット
- 治療期間
- 1年2ヶ月
- 治療回数
- 10-30回
- 治療計画
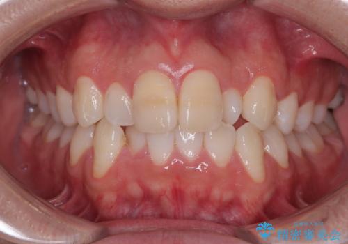
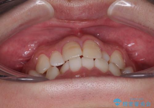
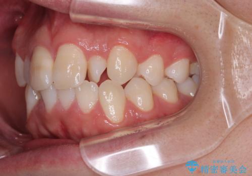
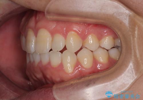
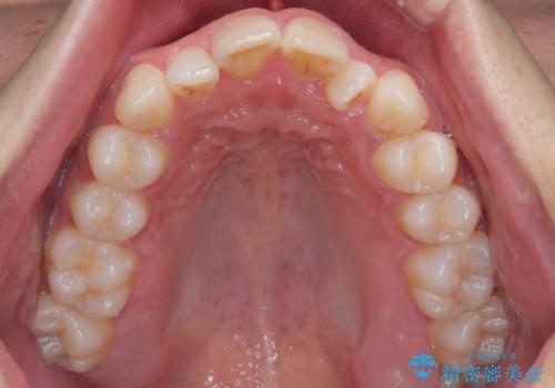
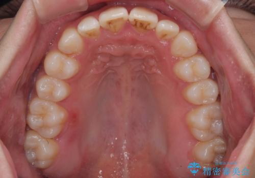
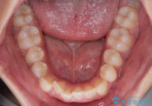
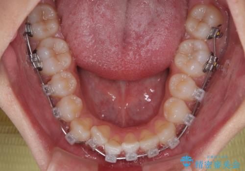
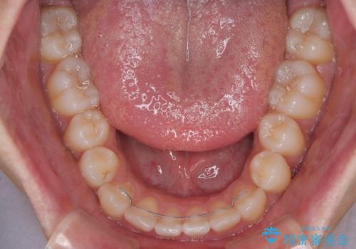
- 「上下の前歯がガタガタしているのが気になる」とのことで来院された患者様です。
上下顎前歯部に叢生(歯の重なり・ガタつき)を認め、見た目だけでなく、歯磨きのしにくさも気にされて来院されました。
インビザライン(マウスピース矯正)とワイヤー矯正のどちらが良いか悩まれていました。
カウンセリングの中で、
・マウスピースの1日20時間以上の装着管理
・紛失や自己管理への不安
といった点を患者様ご自身が懸念されていました。
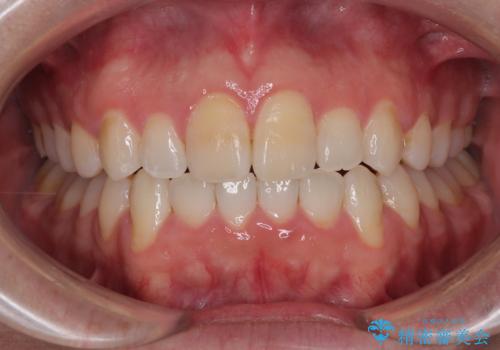
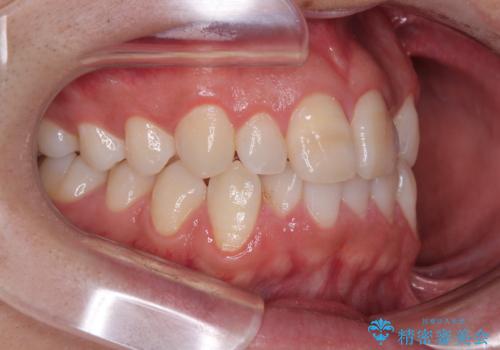
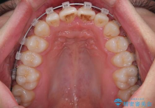
そのため今回は、プラスチックブラケット+メタルワイヤーによるクリアブラケットによる治療を選択しました。
- 費用(概算)
- 88万円(税込)費用は治療当時の料金となります
治療について
インビザラインをはじめとするマウスピース矯正は、装着時間が不足すると計画通りに歯が動きません。
そのため、
装着管理に自信がない方
確実に治療を進めたい方
自己管理の負担を減らしたい方
には、ワイヤー矯正がおすすめです。
ワイヤー矯正の注意事項(リスク・副作用など)
- 治療中は違和感や痛みが起こることがあります
- 症状により、抜歯が必要な場合があります
- 治療中は歯磨きがしにくくなるため、虫歯や歯周病になりやすくなります
- 矯正治療後の保定が不十分だと後戻り(元の位置に戻ろうとする動き)をします
- 自費診療(保険適用外)となります
当サイトの内容、テキスト、画像等の無断転載、複製、複写、盗用を固く禁じます。


























