症例詳細
Case detail
急速拡大装置 狭い上顎歯列を改善して、八重歯を改善した片側抜歯矯正治療
治療症例の内容
- 診療科目
- 治療カテゴリ
- 担当医
- 有澤哲郎(ドクタープロフィール)
- 患者様
- 20代女性
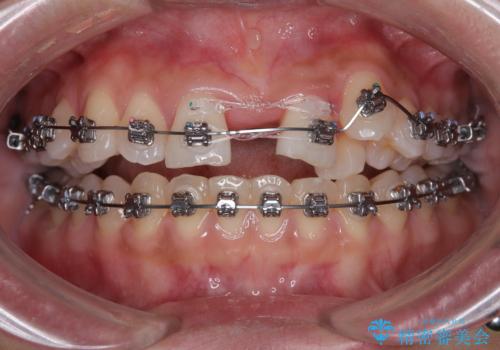
- 矯正装置
- メタルブラケット
- 治療期間
- 1年8ヶ月
- 治療回数
- 30回以上
- 治療計画
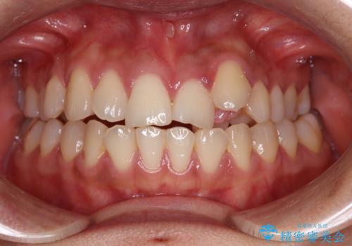
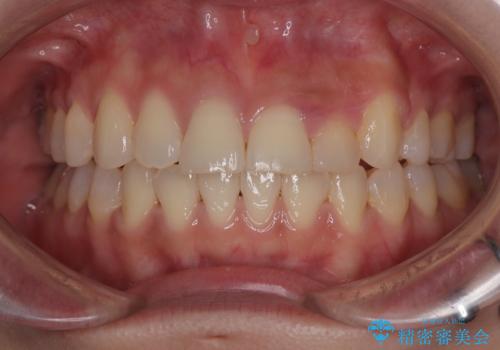
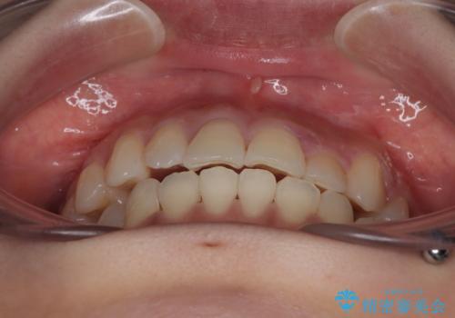
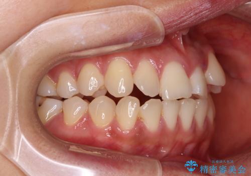
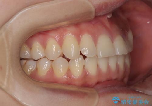
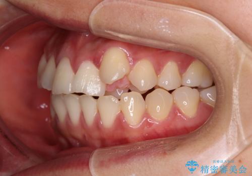
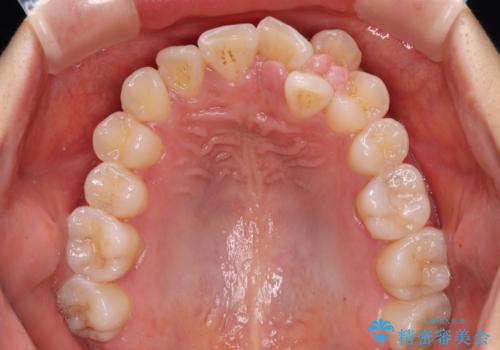
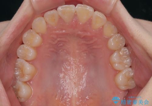
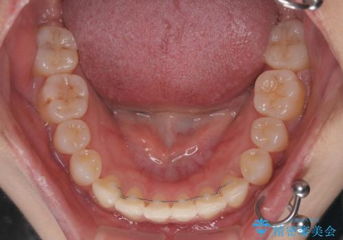
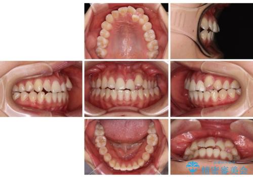
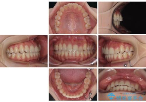
- 左上の前歯のがたつきを主訴に来院された患者様です。
上顎歯列が下顎の歯列に対して狭小であり、一部下顎の奥歯が上顎よりも外側に位置している状態でした。
上顎の歯列を拡大しスペースを設け、さらに左上の小臼歯を一本抜歯し左上の八重歯を歯列内に入れ整えていくことにしました。
- 費用(概算)
- 治療費の目安: 95万円(税込)費用は治療当時の料金となります
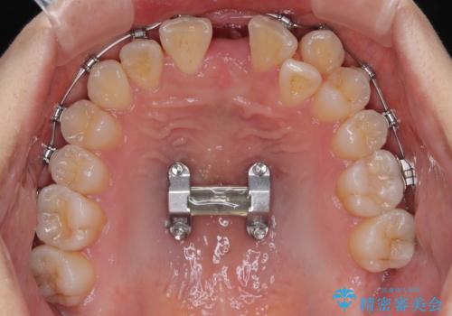
MARPEについて
MARPE(Mini screw assisted rapid palatal expansion )は、上顎の幅を広げる矯正治療です。
歯だけでなく、あごの骨に直接力をかけて広げるのが特徴です。
これまで難しかった大人の方でも、上あごの拡大が可能な場合があります。
上顎の骨に小さなネジ(マイクロインプラント)を使用し、装置をしっかり固定します。
その力で上あごの正中(真ん中の骨のつなぎ目)を少しずつ広げていきます。
※適応には検査が必要です。
ワイヤー矯正の注意事項(リスク・副作用など)
- 治療中は違和感や痛みが起こることがあります
- 症状により、抜歯が必要な場合があります
- 治療中は歯磨きがしにくくなるため、虫歯や歯周病になりやすくなります
- 矯正治療後の保定が不十分だと後戻り(元の位置に戻ろうとする動き)をします
- 自費診療(保険適用外)となります
その他の注意事項(リスク・副作用など)
- 担当歯科医師、歯科衛生士又は医院スタッフから受けた説明・注意事項をよくご確認ください
- 医療を提供するに当たり、適切な説明を行い、患者様の十分な理解を得るよう努めております
当サイトの内容、テキスト、画像等の無断転載、複製、複写、盗用を固く禁じます。




























