症例詳細
Case detail
根の病変を精密治療で改善。再発を防ぐ根管治療とオールセラミッククラウン
治療症例の内容
- 診療科目
- 治療カテゴリ
- 担当医
- 河口智英(ドクタープロフィール)
- 患者様
- 30代女性
- 治療期間
- 1ヶ月
- 治療回数
- 2-5回
- 治療計画
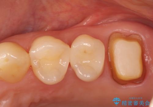
- 左上6番目の奥歯に違和感があるとの主訴でご来院されました。
レントゲンおよび精密診査の結果、過去に根の治療を終えた根尖部に再び炎症(根尖病変)が認められました。被せ物の適合が悪くなっていたことから、隙間から細菌が侵入したことが原因と考えられます。歯を長持ちさせるため、まずは古い被せ物と土台を外して根の内部を徹底的に洗浄する再根管治療を行い、その後、適合性と審美性に優れたオールセラミッククラウンで修復する計画を立案しました。
- 費用(概算)
- 28万円費用は治療当時の料金となります
治療について
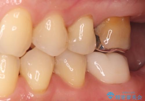
治療は、根管内の感染源を顕微鏡下で徹底的に除去・消毒する精密再根管治療から行いました。
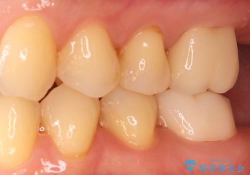
根の状態が安定した後、金属を一切使用しないオールセラミッククラウンを装着しました。高い適合精度により二次感染のリスクを抑え、天然歯に近い透明感と耐久性を両立させています。根の違和感も解消され、機能・審美ともに健康な状態を取り戻しました。
根管治療の注意事項(リスク・副作用など)
- 根管治療により類似の全ての症例の問題が解決するわけではなく、症例はあくまでも一例です
- 根管治療により痛みや腫れがひかない事や、術後に痛みや腫れが生じる事、治療によるファイル破折やパーフォレーションなどの偶発症、術後の歯根破折を生じる可能性もあります
- 自費診療(保険適用外)となります
当サイトの内容、テキスト、画像等の無断転載、複製、複写、盗用を固く禁じます。









