症例詳細
Case detail
繰り返すプラスチックの欠けを解消。広範囲の修復に適したセラミッククラウン
治療症例の内容
- 診療科目
- 治療カテゴリ
- 担当医
- 河口智英(ドクタープロフィール)
- 患者様
- 30代女性
- 治療期間
- 1ヶ月
- 治療回数
- 2-5回
- 治療計画
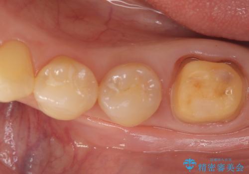
- 左下6番目(第一大臼歯)の詰め物が欠けたことを主訴にご来院されました。
診査の結果、過去に施されたCR(コンポジットレジン:プラスチックの詰め物)による修復範囲が非常に広く、咬合圧に耐えきれずに破損している状態でした。第一大臼歯は噛み合わせの要となる歯であり、最も強い力がかかるため、部分的な詰め物による再修復では再び欠けたり、残っている自分の歯まで割れてしまったりするリスクが高いと判断。歯全体を強固に保護し、機能性と耐久性を確保するために、セラミッククラウンによる修復計画を立案しました。
- 費用(概算)
- 14万円費用は治療当時の料金となります
治療について
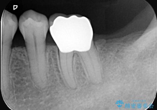
治療では、破損した古いレジンを除去し、セラミッククラウンを装着するための形を整えました。
広範囲にわたる欠損をセラミッククラウンで覆うことにより、咬合時の負担が歯の一部に集中するのを防ぎ、歯根の破折リスクを大幅に軽減させています。精密に作製されたセラミックは適合性に優れており、歯との段差がほとんどないため、細菌が入り込みにくい清潔な状態を作ることができます。
修復後は、天然歯のような美しい見た目はもちろん、硬いものでもしっかりと噛める強度が備わりました。適合精度と耐久性が向上したことで、将来的に再治療が必要になるリスクを最小限に抑えた、安心できる口腔環境を取り戻していただけました。
セラミック治療の注意事項(リスク・副作用など)
- 天然歯を削ります
- 硬い素材は天然歯を傷つけてしまう場合があります
- かみ合わせや歯ぎしりが強すぎる方はセラミックが割れてしまう可能性があります
- 自費診療(保険適用外治療)となります
当サイトの内容、テキスト、画像等の無断転載、複製、複写、盗用を固く禁じます。





