症例詳細
Case detail
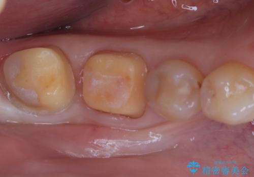
欠けやすい大きなプラスチック充填から、耐久性の高いセラミッククラウンへ
治療症例の内容
- 診療科目
- 治療カテゴリ
- 担当医
- 河口智英(ドクタープロフィール)
- 患者様
- 30代女性
- 治療期間
- 1ヶ月
- 治療回数
- 2-5回
- 治療計画
- 右下奥歯(6番・7番)の詰め物が欠けてしまったことを主訴にご来院されました。
診査の結果、以前治療したCR(コンポジットレジン:プラスチックの詰め物)が広範囲にわたっており、残っている自分の歯との境界から大きく破損している状態でした。奥歯は非常に強い咬合力がかかる場所であり、同様のCR修復では再発や歯根破折のリスクが高いと判断。今回は歯全体をしっかりと保護し、長期的に安定させるために、セラミッククラウンを用いた修復計画を立案しました。
- 費用(概算)
- 28万円費用は治療当時の料金となります
治療について
自然な仕上がりとなり、機能・審美ともに改善されました。適合精度が高いセラミックにより、汚れが付きにくく、二次的な虫歯を予防する健やかな環境が整いました。
セラミック治療の注意事項(リスク・副作用など)
- 天然歯を削ります
- 硬い素材は天然歯を傷つけてしまう場合があります
- かみ合わせや歯ぎしりが強すぎる方はセラミックが割れてしまう可能性があります
- 自費診療(保険適用外治療)となります
当サイトの内容、テキスト、画像等の無断転載、複製、複写、盗用を固く禁じます。





